Célula de Reed-Sternberg

Célula de Reed-Sternberg
Célula de Reed-Sternberg
Subclasse de célula, célula gigante, célula anormal
Nomeada em referência a Dorothy Reed Mendenhall, Carl Sternberg
MeSH D016539

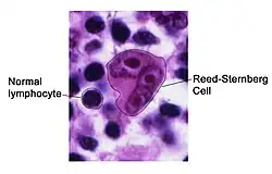
As células de Reed-Sternberg são células gigantes, multinucleadas, encontradas no linfoma de Hodgkin mergulhadas em um infiltrado inflamatório característico e em algumas outras condições.

O formato característico de seu núcleo bilobado confere à estas células a aparência de olhos de coruja. Os nucléolos são eosinofílicos e bem aparentes. Pode também ser multinucleada ("moedas de pennies em um prato").

Durante muito tempo houve dúvidas em relação à origem das células de RS no LH (H-RS). No entanto, com o advento de técnicas de microdissecção foi possível verificar que estas células originam-se de linfócitos B no centro germinativo dos linfonodos.[1][2] As células H-RS são células neoplásicas clonais.

Algumas condições benignas podem, eventualmente, cursar com células de Reed-Sternberg, tais como a mononucleose infecciosa[3] e a linfonodomegalia associada à carbamazepina.

O nome da célula foi dado em homenagem a Dorothy Reed Mendenhall e Carl Sternberg.

Referências

  1. Mathas, Stephan; Sylvia. «Hodgkin lymphoma: Pathology and biology». Seminars in Hematology. 53 (3): 139–147. doi:10.1053/j.seminhematol.2016.05.007 
  2. Younes, Anas; Stephen M. «Novel agents in the treatment of Hodgkin lymphoma: Biological basis and clinical results». Seminars in Hematology. 53 (3): 186–189. doi:10.1053/j.seminhematol.2016.05.011 
  3. Küppers R, Hansmann ML (2005). «The Hodgkin and Reed/Sternberg cell». Int J Biochem Cell Biol. 37 (3). Elsevier. pp. 511–17. PMID 15618006