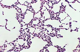
Bacillus coagulans
Bacillus coagulans
| |||||||||||||||
|---|---|---|---|---|---|---|---|---|---|---|---|---|---|---|---|
![]() B. coagulans | |||||||||||||||
| Classificação científica | |||||||||||||||
| |||||||||||||||
| Nome binomial | |||||||||||||||
| Bacillus coagulans Hammer, 1915 | |||||||||||||||
Bacillus coagulans é uma espécie de Bacillus que pode contaminar conservas alimentícias produzindo um sabor ácido. É capaz de crescer mesmo em alimentos muito ácidos para outras bactérias.[1]
Referências
- ↑ «Bacillus coagulans» (em inglês). ITIS (www.itis.gov)
