Artéria tibial anterior
Artéria tibial anterior
| |
|---|---|
![]() | |
![]() | |
| Artéria tibial anterior e os músculos e ossos da perna - vista anterior da perna direita. | |
| Nome em Latim | arteria tibialis anterior |
| Gray's | subject # 634 |
| Vasculariza | compartimento anterior da perna |
| Origem | artéria poplítea |
| Ramos | post. tibial recurrent fibular ant. tibial recurrent musc. branches ant. medial malleolar ant. lateral malleolar dorsalis pedis |
| Veia | veia tibial anterior |
| Dorlands/Elsevier | a_61/12156393 |
Na anatomia, a artéria tibial anterior leva o sangue da artéria poplítea para o compartimento anterior da perna e superfície dorsal do pé.[1]
É acompanhada de uma veia profunda, a veia tibial anterior, ao longo de sua trajetória.
No tornozelo se torna a artéria dorsal do pé.
Imagens adicionais
-
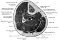
Secção transversa no meio da perna.
Referências
- ↑ «Anterior tibial artery». Kenhub (em inglês). Consultado em 15 de agosto de 2025

