Weissella
| Weissella | |
|---|---|
| |
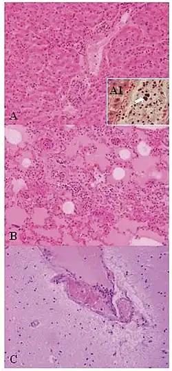
| Lesões de Weissella confusa na coloração Cercopithecus mona (hematoxilina e eosina): A) fígado: tríade portals com neutrófilo infiltração (x10); A1, presença de êmbolos bacterianos no interior da veia (seta) (x40). B) aguda pneumonia: edema, congestão, e leucócitos células exsudação nos alvéolos pulmonares (x10). C) encefalite: congestão e neutrófilos marginalizados em vaso nervosos (x10) | |
| Classificação científica | |
| Domínio: | |
| Filo: | |
| Classe: | |
| Ordem: | |
| Família: | |
| Gênero: | Weissella Collins et al. 1994[2]
|
| Espécie-tipo | |
| Weissella viridescens (Niven and Evans 1957) Collins et al. 1994[2]
| |
Weissella[3] é um gênero de bactérias gram-positivas da família Lactobacillaceae, anteriormente consideradas espécies do grupo Leuconostoc paramesenteroides.[2] A morfologia das espécies de Weissella varia de células esféricas ou lenticulares a bastonetes irregulares. Várias cepas de Weissella cibaria e Weissella confusa mostraram potencial probiótico.[4] Em particular, o sobrenadante de cultura livre de células de Weissella confusa apresenta uma série de características benéficas, como potencial antibacteriano e eficiência anti-inflamatória.[5] No entanto, várias cepas de W. confusa são bactérias oportunistas. Vários estudos foram feitos sobre a segurança das espécies bacterianas, indicando seu potencial probiótico.[6][7] A Comissão de Segurança Alimentar do Senado validou o uso de W. confusa em alimentos.[8]
Espécies
O gênero Weissella compreende as seguintes espécies:[9]
- Weissella beninensis Padonou et ai . 2010
- Weissella bombi Praet et ai . 2015
- Weissella ceti Vela et ai . 2011
- Weissella cibaria Björkroth et ai . 2002
- Weissella coleopterorum Hyun et ai . 2021
- Weissella confusa . (Holzapfel e Kandler 1969) Collins et ai . 1994
- Weissella cryptocerci Heo et al . 2019
- Weissella diestrammenae Oh et al . 2013
- Weissella fabalis Snauwaert et ai . 2013
- Weissella fabaria De Bruyne et ai . 2010
- Weissella ghanensis De Bruyne et ai . 2008
- Weissella halotolerans (Kandler et ai . 1983) Collins et ai . 1994
- Weissella hellenica Collins et ai . 1994
- Weissella kandleri (Holzapfel e van Wyk 1983) Collins et ai . 1994
- Weissella koreensis Lee et ai . 2002
- Weissella minor (Kandler et ai . 1983) Collins et ai . 1994
- Weissella muntiaci Lin et ai . 2020
- Weissella oryzae Tohno et ai . 2013
- Weissella paramesenteroides (Garvie 1967) Collins et ai . 1994
- Weissella sagaensis Li et ai . 2020
- Weissella soli Magnusson et ai . 2002
- Weissella thailandensis Tanasupawat et ai . 2000
- Weissella uvarum Nisiotou et ai . 2014
- Weissella viridescens (Niven e Evans 1957) Collins et ai . 1994
Filogenia
A taxonomia atualmente aceita é baseada na Lista de nomes de procariontes com Standing in Nomenclature[9] e a filogenia é baseada em sequências de genoma completo.[1]
| |||||||||||||||||||||||||||||||||||||||||||||||||||||||||||||||||||||||||||||||
Referências
- ↑ a b Zheng J, Wittouck S, Salvetti E, Franz CMAP, Harris HMB, Mattarelli P, O'Toole PW, Pot B, Vandamme P, Walter J, Watanabe K, Wuyts S, Felis GE, Gänzle MG, Lebeer S. (2020). «A taxonomic note on the genus Lactobacillus: Description of 23 novel genera, emended description of the genus Lactobacillus Beijerinck 1901, and union of Lactobacillaceae and Leuconostocaceae». Int J Syst Evol Microbiol. 70 (4): 2782–2858. PMID 32293557. doi:10.1099/ijsem.0.004107
- ↑ a b c Collins, M.D.; Samelis, J.; Metaxopoulos, J.; Wallbanks, S. (1993). «Taxonomic studies on some leuconostoc-like organisms from fermented sausages: Description of a new genus Weissella for the Leuconostoc paramesenteroides group of species». Journal of Applied Microbiology. 75 (6): 595–603. ISSN 1364-5072. PMID 8294308. doi:10.1111/j.1365-2672.1993.tb01600.x
- ↑ Björkroth, Johanna; Holzapfel, Wilhelm (2006). «Genera Leuconostoc, Oenococcus and Weissella». The Prokaryotes. [S.l.: s.n.] pp. 267–319. ISBN 978-0-387-25494-4. doi:10.1007/0-387-30744-3_9
- ↑ Lee, Kang Wook; Park, Ji Yeong; Jeong, Hee Rok; Heo, Ho Jin; Han, Nam Soo; Kim, Jeong Hwan (2012). «Probiotic properties of Weissella strains isolated from human faeces». Anaerobe. 18 (1): 96–102. PMID 22200451. doi:10.1016/j.anaerobe.2011.12.015
- ↑ Dey, Debasish Kumar; Khan, Imran; Kang, Sun Chul (2019). «Anti-bacterial susceptibility profiling of Weissella confusa DD_A7 against the multidrug-resistant ESBL-positive E. coli». Microbial Pathogenesis. 128: 119–130. PMID 30597254. doi:10.1016/j.micpath.2018.12.048
- ↑ Panthee, S; Paudel, A; Blom, J; Hamamoto, H; Sekimizu, K (2019). «Complete genome sequence of Weissella hellenica 0916-4-2 and its comparative genomic analysis.». Frontiers in Microbiology. 10. 1619 páginas. PMC 6667553
. PMID 31396169. doi:10.3389/fmicb.2019.01619
- ↑ Dey, Debasish Kumar; Koo, Bon Gyo; Sharma, Chanchal; Kang, Sun Chul (2019). «Characterization of Weissella confusa DD_A7 isolated from kimchi». LWT. 111: 663–672. doi:10.1016/j.lwt.2019.05.089
- ↑ Vogel, R. F.; Hammes, W. P.; Habermeyer, M.; Engel, K. H.; Knorr, D.; Eisenbrand, G.; Senate Commission on Food Safety (SKLM) of the German Research Foundation (2011). «Microbial food cultures--opinion of the Senate Commission on Food Safety (SKLM) of the German Research Foundation (DFG)». Molecular Nutrition & Food Research. 55 (4): 654–62. PMID 21351251. doi:10.1002/mnfr.201100010
- ↑ a b «Weissella». List of Prokaryotic names with Standing in Nomenclature (LPSN). Consultado em 1 de julho de 2021 Verifique o valor de
|display-authors=Euzéby JP, Parte AC(ajuda)
