Urotélio

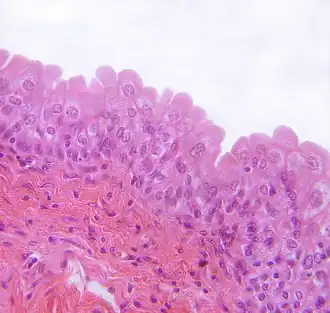
Urotélio é a camada tecidual (epitélio) que recobre grande parte do trato urinário, incluindo a pelve renal, os ureteres, a bexiga urinária e partes da uretra. O urotélio é um epitélio pseudoestratificado e classificado como epitélio de transição uma vez que as células que o constituem variam na sua morfologia, podendo ter desde forma de medusa ou de guarda chuva (células medusa ou células guarda-chuva) até forma mais achatada/pavimentosa. Esta variação depende do quão esticado o tecido estiver. As células do urotélio podem ser binucleadas.