Tumor hepático
| Tumores hepáticos | |
|---|---|
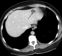
![]() | |
| Metástases de um adenocarcinoma de pâncreas ao fígado. | |
| Classificação e recursos externos | |
| CID-10 | C22, D18.0 |
| CID-9 | 155 |
| OMIM | 114550 |
| DiseasesDB | 7547 |
| MedlinePlus | 000280 |
| eMedicine | article/197319 |
| MeSH | D008113 |
Tumor hepático ou tumor do fígado é qualquer crescimento anormal dentro da estrutura do fígado, incluindo neoplasias benignas e malignas, originado no órgão (primário) ou fora dele (metástase), infecciosas ou não.
Benignos
Os tumores hepáticos benignos são relativamente comuns e geralmente não causam sintomas. A maioria dos tumores benignos é detectada apenas quando um exame de imagem, como ultrassonografia, tomografia computadorizada (TC) ou ressonância magnética (RM), é feito por uma razão não relacionada com o tumor. Raramente, esses tumores causam desconforto na parte superior direita do abdômen, fazem com que o fígado aumente (hepatomegalia) ou causam sangramento na cavidade abdominal. [1]
O fígado geralmente funciona normalmente, mesmo quando um tumor não canceroso está presente. Assim, os resultados de exames de sangue para avaliar a função hepática são normalmente normais. O tratamento pode ou não ser necessário.[carece de fontes]
Hemangiomas
Os hemangiomas são a forma mais comum de tumores hepáticos, afetando cerca de 5% da população e mais comum entre as mulheres. São tumores dos vasos sanguíneos e podem aparecem em vários outros lugares do corpo. Geralmente estes tumores benignos não produzem sintomas e não necessitam de ser tratados. Quando crescem mais de 4cm, causando efeito de massa, podem ser removidos com uma laparoscopia abdominal.[2]
Cistos hepáticos
Os cistos são estruturas de paredes finas que contêm fluido. Cistos hepáticos são comuns, estimando que afetem aproximadamente 5 por cento da população. Como apenas cerca de 5% desses cistos causam sintomas, a maioria nunca é detectada ou só é detectada incidentalmente. Mesmo quando sangram e causam dor, frequentemente melhoram em alguns dias mesmo sem tratamento. A maioria dos cistos são solitários, mas em 12% dos casos sofrem com fígado policístico. Quando causam dor, sangramento e mal estar prolongado podem ser removidos com laparoscopia.[3]
Alguns cistos podem ser causados por parasitas como na equinococose.[carece de fontes]
Adenoma hepático
Os Adenomas hepáticos são tumores glandulares, mais frequentes em mulheres em idade fértil. Associados a altos níveis de estrógeno, por exemplo, pelo uso de contraceptivos orais. Possuem risco significativo de sangramento abdominal e raramente se tornam malignos. Recomenda-se cirurgia para removê-los. [2]
Hiperplasia focal nodular
As hiperplasias nodulares focais (HNF) são tumores hepáticos comuns, mas que raramente causam sintomas ou requerem tratamento. Causados por má-formação dos vasos sanguíneos do fígado são mais frequentes em mulheres e dos 20 aos 30 anos.[1]
Malignos
A maioria dos cânceres de fígado são metástases de outros tumores, geralmente de origem abdominal como o câncer de cólon, câncer de ovário e câncer renal, mas também são comuns os originados de um câncer de mama e câncer de pulmão.
O câncer hepático primário mais frequente é o carcinoma hepatocelular (também denominado hepatocarcinoma). A principal causa de carcinoma hepático é cirrose devido a hepatite B, hepatite C ou alcoolismo. Também pode ser causado por aflatoxinas produzidas por fungos que contaminam alimentos. Obesidade, diabetes e tabagismo são importantes fatores de risco. [4]
Formas primárias mais raras de câncer de fígado incluem o colangiocarcinoma, um sarcoma, o hepatoblastoma e suas versões mistas.[carece de fontes]
Referências
- ↑ a b Benign Liver Tumors. https://www.emoryhealthcare.org/liver-disease/benign-tumors.html
- ↑ a b Marrero JA, Ahn J, Rajender Reddy K; American College of Gastroenterology. ACG clinical guideline: the diagnosis and management of focal liver lesions. Am J Gastroenterol 109(9):1328-1347, 2014. doi: 10.1038/ajg.2014.213.
- ↑ http://my.clevelandclinic.org/health/articles/liver-cysts-tumors
- ↑ GBD 2013 Mortality and Causes of Death, Collaborators (17 December 2014). "Global, regional, and national age-sex specific all-cause and cause-specific mortality for 240 causes of death, 1990-2013: a systematic analysis for the Global Burden of Disease Study 2013.". Lancet. 385: 117–71. doi:10.1016/S0140-6736(14)61682-2. PMC 4340604Freely accessible. PMID 25530442.
