Tumor de Pancoast

Tumor de Pancoast
Especialidadeoncologia
Classificação e recursos externos
CID-10C34.1
CID-9162.3
CID-CID-O8010/3
DiseasesDB31266
eMedicine284011
MeSHD010178
A Wikipédia não é um consultório médico. Leia o aviso médico 

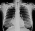
Um tumor de Pancoast é um tumor do ápice pulmonar, ou seja, um tipo de câncer de pulmão definido principalmente pela sua localização situada no topo do pulmão esquerdo ou direito. É tipicamente associado a um histórico de tabagismo.

O crescimento tumoral pode conduzir à compressão da veia braquiocefálica, artéria subclávia , nervo frénico, nervo laríngeo recorrente, nervo vago, ou caracteristicamente a compressão da cadeia simpática cervical, e concomitantemente o desenvolvimento da síndrome de Horner.

Os tumores de Pancoast são um epônimo em homenagem a Henry Pancoast, um radiologista norte-americano, que os descobriu em 1924 e 1932.

Sinais e sintomas

Os sintomas podem incluir miose (constrição das pupilas), anidrose (falta de suor), ptose (queda da pálpebra) e, em casos severos, uma síndrome de Horner completa. Nos casos progressivos, o plexo braquial também é afetado, causando dor e fraqueza nos músculo do braço e mão. Nervo laríngeo recorrente também pode ser afetado causando rouquidão. Além disso o nervo frênico também pode ser afetado causando paralisação do diafragma. O paciente também pode ter síndrome da veia cava superior por compressão da veia cava superior.

Tratamento

O tratamento do câncer de pulmão de Pancoast pode ser diferente aos de outros tipos de câncer pulmonares de células não-pequenas devido à sua posição e proximidade a estruturas vitais (como nervos e medula espinhal) que pode fazer com que a cirurgia seja de difícil realização. Desta forma, dependendo do estadiamento do câncer, o tratamento pode envolver radioterapia e quimioterapia anteriormente à cirurgia.

Quando o tumor realmente for irressecável ou quando o paciente não apresenta condições físicas para ser submetido a um procedimento cirúrgico, a radioterapia deve ser utilizada como tratamento único.