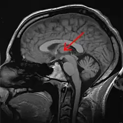
Tálamo (anatomia)

O tálamo é uma estrutura localizada no diencéfalo, entre o córtex cerebral e o mesencéfalo, formada fundamentalmente por substância cinzenta (núcleos de neurônios) do encéfalo [1]. São duas massas neuronais situadas na profundidade dos hemisférios cerebrais. Dentre suas funções estão a transmissão de sinais motores e sensitivos para o córtex [2], além da regulação da consciência, sono e estado de alerta.
Centro de relé
O tálamo é um centro de organização cerebral, como uma encruzilhada de diversas vias neuronais em que podem influenciar-se mutuamente antes de serem redistribuídas. Suas ligações mais abundantes dão-se entre estruturas do sistema extrapiramidal e do córtex motor. A principal função do tálamo é servir de estação de reorganização dos estímulos vindos da periferia e do tronco cerebral, e também de alguns vindos de centros superiores. Lá, fazem, sinapse, os axônios dos neurônios situados nesses locais. Daí, partem novos axônios que vão efetuar ligações com outros centros superiores, principalmente o córtex cerebral. Quase todos os sinais ascendentes que vão para o córtex fazem sinapse nos núcleos do tálamo, onde são reorganizados e/ou controlados, exceptuando o sentido do olfacto.
Centro autônomo
O tálamo também possui circuitos de integração dos sinais que recebe, e julga-se que algumas das sensações menos elaboradas que o indivíduo experimenta têm aí sua origem. Por exemplo, é sabido que animais dos quais foi retirado o córtex continuam, de alguma forma, a reagir a estímulos de dor — ainda que esta possa não ser a mais apropriada. Ou doentes, cujas patologias apresentam a porção correspondente do córtex danificada, que ainda conseguem sentir um objecto na palma da mão, mesmo que não consigam identificar exatamente sua forma, temperatura ou peso.
Neuroanatomia
O tálamo é um conjunto bem definido de vários núcleos de neurônios e forma uma parte maior do diencéfalo. Existem dois deles situados em posições simétricas, à esquerda e à direita, cada um covixem cerca de 1 cm de comprimento. Sua extremidade anterior é estreita e arredondada, e constitui a parede posterior do forame interventricular; a porção posterior é expandida e está acima do colículo superior; a superfície inferior situa-se continuamente ao tegmento do mesencéfalo; sua face medial está confrontada com a mesma do outro tálamo e contém uma região de comunicação com ele, a adesão intertalâmica, que está rodeada pelo terceiro ventrículo.
O tálamo contém diversos núcleos: anterior, dorsomedial, lateral dorsal e lateral posterior, pulvinar, ventral anterior, ventral lateral, ventral posterior lateral e medial, intralaminares, da linha média, reticulares, e os geniculados laterais e mediais.
- O núcleo anterior faz relé em relação ao sistema límbico, para os corpos mamilares, giro cingulado e hipotálamo.
- O núcleo dorsomedial tem conexões com o córtex pré-frontal e o hipotálamo e está envolvido na transmissão de sentimentos objetivos e emocionais, e sua relação com o estado subjetivo do individuo (p. ex. seu estado de controlo emocional e personalidade).
- Os núcleos ventrais anteriores e laterais influenciam e regulam as vias descendentes motoras do córtex e cerebelo.
- Os núcleos ventrais posteriores são a estação de sinapse das vias sensitivas periféricas (lemniscos medial e espinhal) em direção ao córtex sensorial (no giro pós-central).
- O núcleo geniculado lateral recebe os axónios do nervo óptico e os transmite para o córtex visual (no lobo occipital).
- O núcleo geniculado medial tem idêntica função na via auditiva.
- Os núcleos intralaminares têm ligações com a formação reticular e permitem ao córtex influenciar o estado de vigília.
Patologias clínicas
A trombose ou hemorragia, ou seja um infarto ou AVC, das artérias que irrigam o tálamo, com necrose por isquemia (morte celular) extensa nesse órgão, leva à perda de sensação completa ou quase completa em toda a metade do corpo oposta do individuo — i.e., se tálamo esquerdo é afetado há perda de sensação à direita do topo da nuca à ponta dos pés. Poderá haver também défices motores.
Dor talâmica é uma síndrome que pode ocorrer quando um paciente recupera de um infarto, mesmo que menor. Há sensação de dor, por vezes forte, do lado oposto do corpo sem que haja qualquer lesão que a justifique. Essa dor será devida à disfunção das vias da dor, que passam no tálamo, e não a lesões periféricas, ainda que o doente a localize à periferia (o tálamo, assim como o resto do cérebro, não tem receptores de dor) [3].
Em alguns doentes com lesões talâmicas, a mão contra-lateral está constantemente em posição atípica, com pulsos flectidos e pronados e dedos flectidos e retos.
A doença priônica conhecida por Insonia Familiar Fatal é o resultado de lesões no tálamo. Uma vez destruídas as células dessa estrutura, o indivíduo perde completamente a capacidade de dormir, indo a óbito entre seis e dezoito meses após o início dos sintomas.
Referências
- ↑ Sistema Extrapiramidal: Anatomia e Síndromes Clínicas
- ↑ Sherman, S. (2006). "Thalamus". Scholarpedia. 1 (9): 1583.
- ↑ Dejerine, J.; Roussy, G. (1906). "Le syndrome thalamique". Revue Neurologique. 14: 521–32