Síndrome de Kartagener
A síndrome de Kartagener, descrita na década de 1930 pelo polaco Manes Kartagener, é caracterizada pela apresentação de:

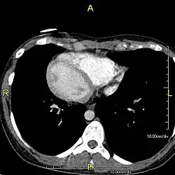
- Situs inversus: condição congênita onde os órgãos do tórax e abdômen estão transpostos;
- Sinusite crônica;
- Bronquiectasias.
A síndrome foi posteriormente renomeada para Discinesia Ciliar Primária após pesquisadores identificarem um defeito estrutural nos cílios do epitélio respiratório — especificamente, o tecido epitelial colunar simples ciliado que reveste a árvore respiratória. A condição pode desencadear complicações adicionais, incluindo arritmias cardíacas, fadiga, deficiências hormonais e fraqueza muscular. Tentar novamente
Sintomas
O defeito na estrutura do cílio ocasiona seus batimentos incoordenados e inefetivos, alterando a remoção de secreção de muco e das partículas inaladas, culminando em rinites, sinusites, otites, bronquites e pneumonias. Todos estes são quadros recorrentes e persistentes. Entretanto, a bronquiectasia é a complicação pulmonar predominante.

O portador da discinesia ciliar primária pode apresentar tosse produtiva crônica e infecções respiratórias recorrentes. Como o diagnóstico tende a ser tardio e de exclusão, pode haver comprometimento progressivo da função pulmonar e baqueteamento digital (alteração caracterizada pelo aumento do diâmetro das falanges distais e alterações das unhas) em pacientes mais velhos. Situs inversus.
Diagnóstico
O diagnóstico pode ser determinado através da microscopia eletrônica pela análise da ultra-estrutura do cílio. Entretanto, ele pode não ser totalmente conclusivo em alguns casos, se o defeito ocorrer no funcionamento do cílio.
Referências
- «Foundation» (em inglês)
- «Support» (em inglês)
- «Education-Medicine»
- «Cheo» (em inglês)