Síndrome de Eagle
| Sindrome de Eagle | |
|---|---|
![]() | |
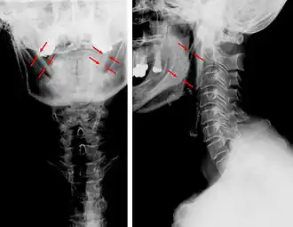
| Rx da coluna vertebral-ossificação bilateral dos ligamentos estilo-hióideos | |
| Classificação e recursos externos | |
| CID-9 | 733.99 |
| DiseasesDB | 33542 |
| eMedicine | article/1447247 |
| MeSH | C538010 |
A Síndrome de Eagle é um conjunto de sintomas e sinais resultante da ossificação ou aumento do ligamento estilo-hióideo secundário a uma hipertrofia da apófise estilóide do osso temporal. Pode originar dor facial, otalgia, cefaleias, disfagia, odinofagia, zumbidos e muitas vezes trismo (contratura espasmódica do músculo masseter). O diagnóstico da Síndrome de Eagle é difícil. Os sintomas descritos acabam por ser atribuídos a outras causas. Os exames radiológicos nem sempre são conclusivos, se não forem específicos (incidências especiais) para investigação desta patologia. Muitas vezes estes doentes são considerados com sofrendo de patologia psicossomática e são encaminhados ao psiquiatra.[1]
A calcificação do ligamento do estilo-hióideo causa limitação dos movimentos cervicais e dores intensas na região. É uma causa importante de nevralgia secundária do glossofaríngeo. Aparece sobretudo na idade adulta e no sexo feminino. É raro antes dos 30 anos.[2] O diagnóstico é eminentemente radiográfico. O tratamento nos casos menos graves é feito com analgésicos. Por vezes, o paciente tem que ser assistido em cirurgia maxilo-facial já que na maioria dos casos o tratamento médico é ineficaz.[3]
Referências
- ↑ «Síndrome de Eagle» (PDF). Consultado em 27 de dezembro de 2012
- ↑ «Prevalência do Síndrome de Eagle» (PDF). Consultado em 27 de dezembro de 2012
- ↑ «Cirurgia da síndrome de Eagle» (PDF). Consultado em 27 de dezembro de 2012
