Pseudomixoma peritoneal
| Pseudomyxoma Peritonei | |
|---|---|
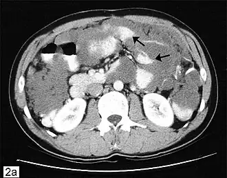
![]() | |
| Tomografia computadorizada de múltiplos pseudomixoma peritoneal (setas). | |
| Especialidade | oncologia |
| Classificação e recursos externos | |
| CID-10 | C78.6 |
| CID-9 | 197.6 |
| CID-CID-O | 8480, 8480/6 |
| DiseasesDB | 31498 |
| eMedicine | med/1795 |
| MeSH | D011553 |
Pseudomixoma peritoneal (PMP) é um raro tipo de câncer originado nas glândulas produtoras de muco no peritoneo (adenocarcinoma mucinoso) que produz abundante mucina (muco) e ascite coloidal (inchaço abdominal gelatinoso). Afeta entre cinco e dez a cada milhão de habitantes, sem predominância de gênero, geralmente entre os 30 e 70 anos, sendo diagnosticado em média aos 50 anos.[1]
Causas
Os tumores geralmente começam como um pólipo no apêndice, mas também podem começar no ovário ou intestino delgado. Fazem uma transformação maligna, produzem abundante muco e se espalham pelo muco para outras partes do abdômen, onde causam fibrose dos tecidos e impedem a boa digestão e função orgânica.[2]
Sinais e sintomas
Os sinais e sintomas de pseudomyxoma peritonei podem incluir[3]:
- Dor e inchaço abdominal ou pélvico,
- Obstrução intestinal mecânica,
- Alterações de peso,
- Infertilidade em mulheres.
Diagnóstico
Os exames de diagnóstico podem incluir tomografias, exame de amostras de tecido obtidas por laparoscopia e avaliação de marcadores tumorais. Na maioria dos casos, uma colonoscopia é inadequada como uma ferramenta de diagnóstico porque na maioria dos casos câncer de apêndice invade a cavidade abdominal, mas não o cólon. PET scan pode ser usado para avaliar adenocarcinoma mucinoso de alto grau, mas este teste não é confiável para a detecção de tumores de baixo grau, porque não se tingem bem com o corante usado nas varreduras. Tumores avançados podem ser palpáveis ou descobertos incidentalmente em cirurgias abdominais.
Tratamento
Se não forem tratados, a mucina que produzem preencherão a cavidade abdominal causando compressão dos órgãos, obstruindo tubo digestivo e prejudicando a função dos outros órgãos abdominais. O tratamento é feito com cirurgia citoredutiva (Debulking) e quimioterapia intraperitoneal hipertérmica intraoperatória. Cerca de 24 por cento sofrem complicações operativas importantes e 2 por cento morrem na cirurgia. O prognóstico é otimista com 63 por cento sobrevivendo mais de dez anos após o diagnóstico e 59 por cento sobrevivendo mais de quinze anos.[4]
Referências
- ↑ What is Pseudomyxoma Peritonei?. http://www.pseudomyxomasurvivor.org/pmp-information/
- ↑ Jacquemin G, Laloux P (2005). "Pseudomyxoma peritonei: review on a cluster of peritoneal mucinous diseases". Acta Chir Belg. 105 (2): 127–33. PMID 15906901.
- ↑ Cancer Research UK . Symptoms of pseudomyxoma peritonei: http://www.cancerresearchuk.org/about-cancer/cancers-in-general/cancer-questions/pseudomyxoma-peritonei
- ↑ Chua; et al. (2012). "Early- and Long-Term Outcome Data of Patients With Pseudomyxoma Peritonei From Appendiceal Origin Treated by a Strategy of Cytoreductive Surgery and Hyperthermic Intraperitoneal Chemotherapy". Journal of Clinical Oncology. 30 (20): 2449–2456. doi:10.1200/JCO.2011.39.7166.
