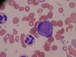
Promielócito
Promielócito
| |
|---|---|
| Subclasse de | célula imune |
| Desenvolve-se a partir de | mieloblasto |
| Cell Ontology | CL_0000836 |



Um promielócito (ou progranulócito) é um precursor de granulócitos, desenvolvendo-se a partir de mieloblastos para dar origem a mielócitos.
Imagens adicionais
-
Linhagem de células sanguíneas -
Hematopoiese em humanos
Ligações externas
- Promyelocyte no eMedicine Dictionary
- Promyelocyte em Dicionário Médico de Dorland