Polidactilia

Polidactilia
Uma mão de um jovem de 27 anos com polidactilia.
Especialidadegenética médica
Classificação e recursos externos
CID-11LB78
CID-10Q69
CID-9755.0
OMIM603596
DiseasesDB24853
MedlinePlus003176
eMedicinederm/692
MeSHD017689
A Wikipédia não é um consultório médico. Leia o aviso médico 
Radiografia de uma mão com polidactilia (quirodáctilos).
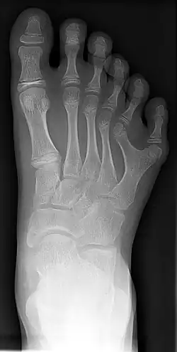
Radiografia de um com polidactilia (pododáctilos).

A polidactilia ou polidatilia (do grego πολύς, "muitos" e δάκτυλος "dedo") é uma anomalia causada pela manifestação de um alelo autossômico variável,dominante com expressividade consistindo na alteração quantitativa anormal dos dedos da mão (quirodáctilos) ou dos dedos do (pododáctilos).

Há uma variação muito grande na expressão dessa característica, desde a presença de um dedo extra, completamente desenvolvido, até a de uma simples profusão carnosa.

Em 2016 foi divulgado um caso de um menino chinês nascido havia cerca de três meses, que tinha 16 dedos nos pés e 15 nas mãos, sendo esta condição hereditária herdada da mãe que possui um dedo a mais em cada mão e pé.[1]

Tipos de Polidactilia

Polidactilia pós-axial

Ocorre do lado cubital (ulnar) da mão ou do lado peroneal (lateral) do pé. É a que tem herança autossômica dominante com penetrância incompleta, porém alta, e é cerca de 10 vezes mais frequente em negros do que em caucasoides.

Polidactilia pré-axial

Ocorre do lado radial da mão ou tibial (medial) do pé. Compreende vários tipos de defeitos (polidactilia do polegar, polidactilia do dedo indicador, polissindactilia, etc).

Tratamento

Apesar de ser uma anomalia, e muitas vezes trazer espanto, a polidactilia não costuma causar problemas a quem possui. A remoção cirúrgica é o único tratamento, de simples resolução.

Notas e referências

Ver também

  • Microdactilia

Ligações externas