Pneumatocele

Pneumatocele é uma cavidade no parênquima pulmonar preenchida com ar que pode resultar de trauma pulmonar durante a ventilação mecânica.[1] Lesões cheias de gás ou cheias de ar no osso são conhecidas como pneumocistos.[2] Quando um pneumocisto é encontrado em um osso, é chamado de pneumocisto intraósseo ou pneumocisto vertebral quando encontrado em uma vértebra.[3]
Causa
Uma pneumatocele ocorre quando uma laceração pulmonar, um corte ou rasgo no tecido pulmonar, se enche de ar.[4] Uma ruptura de uma pequena via aérea cria a cavidade cheia de ar.[1] As lacerações pulmonares que se enchem de sangue são chamadas de hematomas pulmonares.[4] Em alguns casos, pneumatoceles e hematomas existem no mesmo pulmão lesionado. Uma pneumatocele pode aumentar de tamanho, por exemplo, quando o paciente é ventilado mecanicamente ou tem síndrome do desconforto respiratório agudo, caso em que pode não desaparecer por meses.[5] Pneumatocistos intraósseos são raros e de origem incerta. São benignos e geralmente não apresentam sintomas.[3] Também são encontrados ao redor de uma articulação sacroilíaca, e houve um caso relatado de pneumocisto acetabular.[6]
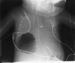
Diagnose
O diagnóstico pode ser feito por radiografia de tórax; a lesão aparece como uma pequena área redonda cheia de ar. A tomografia computadorizada pode fornecer uma compreensão mais detalhada da lesão.[1] Diagnósticos diferenciais – outras condições que podem causar sintomas semelhantes aos da pneumatocele incluem câncer de pulmão, tuberculose[7] e abscesso pulmonar[1] no contexto da síndrome de Hiper IgE (também conhecida como síndrome de Jó) e como uma complicação da pneumonite por COVID-19.[8]
Referências
- ↑ a b c d Atluri P, Karakousis GC, Porrett PM, Kaiser LR (2005). The Surgical Review: An Integrated Basic and Clinical Science Study Guide (Recall Series). Hagerstown, MD: Lippincott Williams & Wilkins. 376 páginas. ISBN 0-7817-5641-3
- ↑ «pneumatocyst | Definition of pneumatocyst in English by Oxford Dictionaries». Oxford Dictionaries | English. Consultado em 4 de junho de 2019
- ↑ a b Al-Tarawneh, E; Al-Qudah, M; Hadidi, F; Jubouri, S; Hadidy, A (março de 2014). «Incidental intraosseous pneumatocyst with gas-density-fluid level in an adolescent: a case report and review of the literature.». Journal of Radiology Case Reports. 8 (3): 16–22. PMC 4035364
. PMID 24967024. doi:10.3941/jrcr.v8i3.1540
- ↑ a b White C, Stern EJ (1999). Chest Radiology Companion. Hagerstown, MD: Lippincott Williams & Wilkins. pp. 80, 176. ISBN 0-397-51732-7. Consultado em 30 de abril de 2008
- ↑ Gavelli G, Canini R, Bertaccini P, Battista G, Bnà C, Fattori R (junho de 2002). «Traumatic injuries: imaging of thoracic injuries». European Radiology. 12 (6): 1273–1294. PMID 12042932. doi:10.1007/s00330-002-1439-6
- ↑ Narváez, JA; Narváez, J; Rodríguez-Mijarro, M; Quintero, JC (1999). «Acetabular pneumatocyst containing air-fluid level.». European Radiology. 9 (8): 1647–9. PMID 10525883. doi:10.1007/s003300050902
- ↑ Puri, M. M.; Jain, A. K.; Kumar, Lokender; Sarin, R. (abril de 2014). «Total replacement of a lung by tuberculosis pneumatocele--an unusual post-tuberculosis sequel». The Indian Journal of Tuberculosis. 61 (2): 162–165. ISSN 0019-5707. PMID 25509941
- ↑ Wortman II, Kevin O.; Wortman, Kevin O. (24 de agosto de 2021). «Pneumatocele Induced Pneumothorax in a patient with Post-COVID-19 Pneumonitis. A Case Report». International Journal of Medical Students. ISSN 2076-6327. doi:10.5195/ijms.2021.1012