Piroplasmida
|
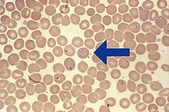
Babesia sp. infectando hemácias.
|
| Classificação científica
|
|
|
| Famílias
|
- Anthemosomatidae
- Babesiidae
- Dactylosomidae
- Haemohormidiidae
- Theileriidae
|
Piroplasmida ou Piroplasmorida é uma ordem de protozoários do filo Apicomplexa. Consiste em vários gêneros de parasitas transmitidos por carrapatos que infectam mamíferos, e em menor proporção aves, e que portanto possuem importância médica e econômica.[1]
Referências
- ↑ LACK, J.B.; REICHARD, M.V.; van den BUSSCHE, R.A. (2012). «Phylogeny and evolution of the Piroplasmida as inferred from 18S rRNA sequences». International Journal for Parasitology. 42 (4): 353–363. doi:10.1016/j.ijpara.2012.02.005
|
|---|
| Ciliophora | | Postciliodesmatophora | Heterotrichea (Stentor) · Karyorelictea (Loxodes) |
|---|
| Intramacronucleata | Spirotrichea ( Stylonychia) · Litostomatea ( Didinium, Balantidium) · Phyllopharyngea ( Tokophrya) · Nassophorea ( Nassula) · Colpodea ( Colpoda) · Oligohymenophorea ( Tetrahymena, Ichthyophthirius, Vorticella, Paramecium) · Plagiopylea ( Plagiopyla) · Prostomatea ( Coleps) |
|---|
| Outra | Cryptocaryon |
|---|
|
|---|
| Myzozoa | | Apicomplexa | | Aconoidasida | |
|---|
| Conoidasida | | Coccidia | | Eu- | | Adele- | Haemogregarina, Hepatozoon, Karyolysus |
|---|
| Eimeri- | |
|---|
|
|---|
| Agamo- | Rhytidocystidae (Rhytidocystis) |
|---|
|
|---|
| Gregarinia | Gregarinasina (Gregarina) |
|---|
|
|---|
| Colpodellidae | Colpodella |
|---|
| Relacionada | Chromera |
|---|
|
|---|
| Dinoflagellata | | Dinokaryota | Com teca: Peridiniales ( Pfiesteria, Peridinium) · Gonyaulacales ( Ceratium, Gonyaulax) · Prorocentrales ( Prorocentrum) · Dinophysiales ( Dinophysis, Histioneis, Ornithocercus, Oxyphysis)
Sem teca: Gymnodiniales (Gymnodinium, Karenia, Karlodinium, Amphidinium) · Suessiales (Polarella, Symbiodinium)
Noctilucales ( Noctiluca) |
|---|
| Syndiniales | Syndiniales: Amoebophryaceae ( Amoebophyra) · Duboscquellaceae ( Duboscquella) · Syndiniaceae ( Hematodinium, Syndinium) |
|---|
| Outros | |
|---|
| Relacionada | Perkinsus |
|---|
|
|---|
|
|---|