Melanina


Melanina é uma família de biomoléculas organizadas como oligômeros ou polímeros, que entre outras funções fornecem os pigmentos de muitos organismos.[1] Os pigmentos de melanina são produzidos em um grupo especializado de células conhecidas como melanócitos.
Existem cinco tipos básicos de melanina: eumelanina, feomelanina, neuromelanina, alomelanina e piomelanina.[2] A melanina é produzida por meio de um processo químico de vários estágios conhecido como melanogênese, onde a oxidação do aminoácido tirosina é seguida pela polimerização. A feomelanina é uma forma cisteinada contendo porções de polibenzotiazina que são amplamente responsáveis pela tonalidade vermelha ou amarela dada a algumas cores de pele ou cabelo. A neuromelanina é encontrada no cérebro. Pesquisas foram realizadas para investigar sua eficácia no tratamento de distúrbios neurodegenerativos, como o Parkinson.[3] A alomelanina e a piomelanina são dois tipos de melanina livre de nitrogênio.
A variação de cor fenotípica observada na epiderme e no cabelo de mamíferos é determinada principalmente pelos níveis de eumelanina e feomelanina no tecido examinado. Em um indivíduo humano médio, a eumelanina é mais abundante em tecidos que requerem fotoproteção, como a epiderme e o epitélio pigmentar da retina.[4] Em indivíduos saudáveis, a melanina epidérmica está correlacionada com a exposição aos raios UV, enquanto a melanina da retina foi encontrada correlacionada com a idade, com níveis diminuindo 2,5 vezes entre a primeira e a nona décadas de vida,[5] o que foi atribuído à degradação oxidativa mediada por espécies reativas de oxigênio geradas por vias dependentes de lipofuscina.[6] Na ausência de albinismo ou hiperpigmentação, a epiderme humana contém aproximadamente 74% de eumelanina e 26% de feomelanina, independentemente do tom de pele, com o conteúdo de eumelanina variando entre 71,8–78,9% e a feomelanina variando entre 21,1–28,2%.[7] O conteúdo total de melanina na epiderme varia de cerca de 0 μg/mg no tecido epidérmico albino[8] para >10 μg/mg no tecido mais escuro.[9]
Na pele humana, a melanogênese é iniciada pela exposição à radiação UV, causando o escurecimento da pele. A eumelanina é um absorvente eficaz da luz; o pigmento é capaz de dissipar mais de 99,9% da radiação UV absorvida.[10] Devido a essa propriedade, acredita-se que a eumelanina proteja as células da pele dos danos da radiação UVA e UVB, reduzindo o risco de depleção de folato e degradação dérmica. A exposição à radiação UV está associada ao aumento do risco de melanoma maligno, um câncer de melanócitos (células de melanina). Estudos mostraram uma menor incidência de câncer de pele em indivíduos com melanina mais concentrada, ou seja, tom de pele mais escuro.[11]
Humanos

Em humanos, a melanina é o principal determinante da cor da pele. Também é encontrada no cabelo, no tecido pigmentado subjacente à íris do olho e na estria vascular do ouvido interno. No cérebro, os tecidos com melanina incluem a medula e os neurônios portadores de pigmento dentro de áreas do tronco cerebral, como o locus coeruleus. Também ocorre na zona reticularis da glândula adrenal.[12]
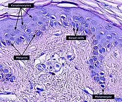
A melanina na pele é produzida pelos melanócitos, que são encontrados na camada basal da epiderme. Embora, em geral, os seres humanos possuam uma concentração semelhante de melanócitos em sua pele, os melanócitos em alguns indivíduos e grupos étnicos produzem quantidades variáveis de melanina. A proporção de eumelanina (74%) e feomelanina (26%) na epiderme é constante, independentemente do grau de pigmentação.[13] Alguns humanos têm muito pouca ou nenhuma síntese de melanina em seus corpos, uma condição conhecida como albinismo.[14]
Como a melanina é um agregado de moléculas componentes menores, há muitos tipos diferentes de melanina com diferentes proporções e padrões de ligação dessas moléculas componentes. Tanto a feomelanina quanto a eumelanina são encontradas na pele e no cabelo humanos, mas a eumelanina é a melanina mais abundante em humanos, bem como a forma mais provável de ser deficiente no albinismo.[15]
Referências
- ↑ Casadevall, Arturo (2018). «Melanin triggers antifungal defences». Nature. 555 (7696): 319–320. Bibcode:2018Natur.555..319C. ISSN 0028-0836. PMID 29542711. doi:10.1038/d41586-018-02370-x
- ↑ Cao, Wei; Zhou, Xuhao; McCallum, Naneki C.; Hu, Ziying; Ni, Qing Zhe; Kapoor, Utkarsh; Heil, Christian M.; Cay, Kristine S.; Zand, Tara; Mantanona, Alex J.; Jayaraman, Arthi (9 de fevereiro de 2021). «Unraveling the Structure and Function of Melanin through Synthesis». Journal of the American Chemical Society. 143 (7): 2622–2637. ISSN 0002-7863. PMID 33560127. doi:10.1021/jacs.0c12322. hdl:1854/LU-8699336
. Consultado em 13 de fevereiro de 2021. Cópia arquivada em 30 de agosto de 2024
- ↑ Haining, Robert L.; Achat-Mendes, Cindy (março de 2017). «Neuromelanin, one of the most overlooked molecules in modern medicine, is not a spectator». Neural Regeneration Research. 12 (3): 372–375. PMC 5399705
. PMID 28469642. doi:10.4103/1673-5374.202928
- ↑ Istrate, Marina; Vlaicu, Brigitha; Poenaru, Marioara; Hasbei-Popa, Mihai; Salavat, Mădălina; Iliescu, Daniela (abril de 2020). «Photoprotection role of melanin in the human retinal pigment epithelium. Imaging techniques for retinal melanin». Romanian Journal of Opthalmology. 64 (2): 100–104. PMC 7339703
. PMID 32685774. doi:10.22336/rjo.2020.20. Consultado em 26 de outubro de 2024
- ↑ Sarna, Tadeusz; Burke, Janice; Korytowski, Witold; Rózanowska, Małgorzata; Skumatz, Christine; Zareba, Agnieszka; Zareba, Mariusz (janeiro de 2003). «Loss of melanin from human RPE with aging: possible role of melanin photooxidation». Experimental Eye Research. 76 (1): 89–98. PMID 12589778. doi:10.1016/s0014-4835(02)00247-6. Consultado em 26 de outubro de 2024
- ↑ Dontsov, Alexander; Yakovleva, Marina; Vasin, Alexander; Gulin, Alexander; Aybush, Arseny; Nadtochenko, Viktor; Ostrovsky, Mikhail (agosto de 2023). «Understanding the Mechanism of Light-Induced Age-Related Decrease in Melanin Concentration in Retinal Pigment Epithelium Cells». International Journal of Molecular Sciences. 24 (17): 13099. PMC 10487480
. PMID 37685907. doi:10.3390/ijms241713099
- ↑ Del Bino, Sandra; Ito, Shosuke; Juliette, Sok; Nakanishi, Yukiko; Bastien, Philippe; Wakamatsu, Kazumasa; Bernerd, Françoise (18 de agosto de 2015). «Chemical analysis of constitutive pigmentation of human epidermis reveals constant eumelanin to pheomelanin ratio». Pigment Cell & Melanoma Research. 28 (6): 707–17. PMID 26285058. doi:10.1111/pcmr.12410. Consultado em 26 de outubro de 2024
- ↑ Marçon, Carolina; Maia, Marcus (30 de setembro de 2019). «Albinism: epidemiology, genetics, cutaneous characterization, psychosocial factors☆☆☆». Anais Brasileiros de Dermatologia. 94 (5): 503–520. PMC 6857599
. PMID 31777350. doi:10.1016/j.abd.2019.09.023
- ↑ Del Bino, Sandra; Ito, Shosuke; Juliette, Sok; Nakanishi, Yukiko; Bastien, Philippe; Wakamatsu, Kazumasa; Bernerd, Françoise (18 de agosto de 2015). «Chemical analysis of constitutive pigmentation of human epidermis reveals constant eumelanin to pheomelanin ratio». Pigment Cell & Melanoma Research. 28 (6): 707–17. PMID 26285058. doi:10.1111/pcmr.12410. Consultado em 26 de outubro de 2024
- ↑ Meredith P, Riesz J (2004). «Radiative relaxation quantum yields for synthetic eumelanin». Photochemistry and Photobiology. 79 (2): 211–6. PMID 15068035. arXiv:cond-mat/0312277
. doi:10.1111/j.1751-1097.2004.tb00012.x
- ↑ Brenner M, Hearing VJ (2008). «The protective role of melanin against UV damage in human skin». Photochemistry and Photobiology. 84 (3): 539–49. PMC 2671032
. PMID 18435612. doi:10.1111/j.1751-1097.2007.00226.x
- ↑ Solano, F. (2014). «Melanins: Skin Pigments and Much More—Types, Structural Models, Biological Functions, and Formation Routes». New Journal of Science. 2014: 1–28. doi:10.1155/2014/498276
- ↑ Del Bino, Sandra; Ito, Shosuke; Sok, Juliette; Wakamatsu, Kazumasa (2022). «5,6-Dihydroxyindole eumelanin content in human skin with varying degrees of constitutive pigmentation». Pigment Cell & Melanoma Research. 35 (6): 622–626. ISSN 1755-1471. PMC 9804219
. PMID 35933709. doi:10.1111/pcmr.13062
- ↑ Cichorek, Mirosława; Wachulska, Małgorzata; Stasiewicz, Aneta; Tymińska, Agata (20 de fevereiro de 2013). «Skin melanocytes: biology and development». Advances in Dermatology and Allergology. 30 (1): 30–41. PMC 3834696
. PMID 24278043. doi:10.5114/pdia.2013.33376
- ↑ «oculocutaneous albinism». Genetics Home Reference. Consultado em 25 de setembro de 2017. Cópia arquivada em 17 de julho de 2020
Ligações externas
- «Absorption spectrum of melanin.». Department of Computer Science and Technology
- «Tyrosine metabolism—Reference pathway». Kyoto Encyclopedia of Genes and Genomes. Consultado em 13 de junho de 2024
- «Melanogenesis». Kyoto Encyclopedia of Genes and Genomes. Consultado em 13 de junho de 2024