Músculo eretor do pelo
Músculo eretor do pelo
| |
|---|---|
| Detalhes | |
| Sistema | pele |
| Identificadores | |
| Latim | m. arrector pili |
| Dorlands/Elsevier | ] |
Os músculos eretores de cabelo,[1] são pequenos músculos ligados aos folículos capilares em mamíferos. A contração desses músculos faz com que os pêlos se arrepiem,[2] conhecido coloquialmente como arrepios (piloereção).[3]
Estrutura
Cada pelo eretor é composto por um feixe de fibras musculares lisas que se ligam a vários folículos (uma unidade folicular). Cada um é inervado por terminações nervosas simpáticas do sistema nervoso autônomo.[4] O músculo se liga ao nicho de células-tronco foliculares,[3][5] dividindo-se em sua extremidade profunda para circundar o folículo.[6]
Função
A contração do músculo é involuntária. Estresses como frio, medo etc. podem estimular o sistema nervoso simpático e, portanto, causar contração muscular.[4]
Isolamento térmico
Em muitos mamíferos, a contração dos músculos eretores do pelo ajuda a fornecer isolamento térmico.[4] O ar fica preso entre os pelos eretos, ajudando o animal a reter o calor.
Estabilidade do folículo capilar
Os músculos eretores dos pelos também estabilizam a base do folículo piloso .[5][6]
Significado clínico
Problemas de pele, como a hanseníase, podem danificar os músculos eretores do pêlo, evitando sua contração.[7]
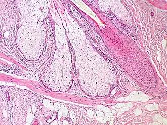
Imagens adicionais
-
Inserção de glândulas sebáceas na base de um pelo -
Seção transversal de todas as camadas da pele
Notas
- ↑ «Anatomy of the Skin | SEER Training». training.seer.cancer.gov. Consultado em 21 de janeiro de 2021
- ↑ David H. Cormack (1 de junho de 2001). Essential histology. [S.l.]: Lippincott Williams & Wilkins. pp. 1–. ISBN 978-0-7817-1668-0. Consultado em 15 de maio de 2011
- ↑ a b Fujiwara, Hironobu; Ferreira, Manuela; Donati, Giacomo; Marciano, Denise K.; Linton, James M.; Sato, Yuya; Hartner, Andrea; Sekiguchi, Kiyotoshi; Reichardt, Louis F. (18 de fevereiro de 2011). «The Basement Membrane of Hair Follicle Stem Cells Is a Muscle Cell Niche». Cell (em inglês). 144: 577–589. ISSN 0092-8674. PMC 3056115
. PMID 21335239. doi:10.1016/j.cell.2011.01.014
- ↑ a b c Pascalau, Raluca; Kuruvilla, Rejji (agosto de 2020). «A Hairy End to a Chilling Event». Cell. 182: 539–541. ISSN 0092-8674. PMID 32763185. doi:10.1016/j.cell.2020.07.004
- ↑ a b Torkamani, Niloufar; Rufaut, Nicholas; Jones, Leslie; Sinclair, Rodney (1 de janeiro de 2017). «The arrector pili muscle, the bridge between the follicular stem cell niche and the interfollicular epidermis». Anatomical Science International (em inglês). 92: 151–158. ISSN 1447-073X. PMID 27473595. doi:10.1007/s12565-016-0359-5
- ↑ a b Poblet, Enrique; Jiménez, Francisco; Ortega, Francisco (agosto de 2004). «The contribution of the arrector pili muscle and sebaceous glands to the follicular unit structure». Journal of the American Academy of Dermatology. 51: 217–222. ISSN 0190-9622. PMID 15280840. doi:10.1016/j.jaad.2004.01.054
- ↑ Budhiraja, Virendra; Rastogi, Rakhi; Khare, Satyam; Khare, Anjali; Krishna, Arvind (1 de setembro de 2010). «Histopathological changes in the arrector pili muscle of normal appearing skin in leprosy patients». International Journal of Infectious Diseases (em inglês). 14: e70–e72. ISSN 1201-9712. PMID 20207571. doi:10.1016/j.ijid.2009.11.018
- Myers, P., R. Espinosa, CS Parr, T. Jones, GS Hammond e TA Dewey. 2006. The Animal Diversity Web; https://web.archive.org/web/20110903154915/http://animaldiversity.ummz.umich.edu/site/topics/mammal_anatomy/hair.html
- Burkitt, Young; et al. (1993). Wheater's Functional Histology: a text and colour atlas. [S.l.]: Heath