Linfoma de células do manto
| Linfoma de células do manto | |
|---|---|
![]() | |
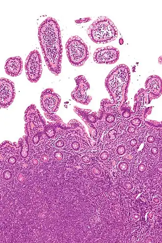
| Micrografia de linfoma de células de manto (parte inferior) em uma biópsia de íleo (H&E). | |
| Especialidade | oncologia |
| Classificação e recursos externos | |
| CID-11 | e 1187349311 2A85.5 |
| CID-10 | C85.7 |
| CID-9 | 200.4 |
| CID-CID-O | M9673/3 |
| eMedicine | med/1361 |
| MeSH | D020522 |
Linfoma de células do manto (LCM) é um linfoma não-Hodgkin originado de linfócitos B do centro pré-germinal dos folículos linfáticos primários ou na região do manto de folículos linfáticos secundários. Representa 2-10% de todos os linfomas não-Hodgkin. É quatro vezes mais comum entre homens. A idade média no momento do diagnóstico é de 60 anos.[1]
Causas
Provavelmente possui um componente genético importante, uma translocação não aleatória entre o cromossoma 11 e o cromossoma 14 dos genes q13 e q32 respectivamente. A t(11;14)(q13;q32) induz um aumento de proteína ciclina D1 que serve no diagnóstico. Afeta os genes BCL1 e IgH. Estudos indicam que essa mutação pode ser induzida por toxinas de pesticidas e tintas ou por oncovírus como o HTLV-1.[1]
Sinais e sintomas
Os sintomas típicos de linfoma de linfócitos B são:[1]
- Febre persistente;
- Sudoração noturna;
- Perda de 10% ou mais de peso.
O exame físico geralmente incluem:[1]
- Gânglios linfáticos inchados em várias partes do corpo (Linfadenopatia generalizada) em 90% dos casos
- Baço grande e duro (esplenomegalia) em 60%
- Fígado agrandado (hepatomegalia) em 30%
- Fraqueza (astenia) em 20%
- Massas palpáveis na pele, glândulas da mama e salivares em menos de 10%
Complicações de progressão da doença podem incluir o seguinte:[1]
- Menos células sanguíneas (neutropenia, anemia, trombocitopenia) secundária a infiltração do linfoma na medula óssea, gastrointestinal, pulmonares ou do sistema nervoso central
- Imunidade debilitada (Leucocitose/linfocitose) na fase da doença leucêmica
Tratamento
O tratamento inicial para MCL agressivo em pacientes mais novos inclui quimioterapia em combinação com o anticorpo monoclonal rituximab (Rituxan), como tratamento de primeira linha, seguido de transplante e estimulação das suas próprias células-tronco. A quimioterapia para casos agressivos em pacientes com menos de 70 anos pode usar o esquema HiperCVAD (ciclofosfamida, vincristina, doxorrubicina, alternando dexametasona com metotrexato e citarabina) mais rituximabe ou seguir o esquema R-CHOP (Rituximab com ciclofosfamida, doxorrubicina, vincristina e prednisona). Em pacientes mais velhos a quimioterapia pode ser seguida de um longo período com rituximab. Transplante de medula-óssea frequentemente é necessário.[2]
Muitas novas drogas e tratamentos estão sendo investigados nos EUA e Europa, por exemplo: idelalisib (GS-1101, originalmente CAL-101), vorinostat (Zolinza), ofatumumab (Arzerra), everolimus (Afinitor), panobinostat, temsirolimus (Torisel) e acalabrutinibe (Calquence).
Prognóstico
Apesar de 50 a 70% dos pacientes responderem bem ao tratamento, o linfoma frequentemente volta a avança um ou dois anos após a quimioterapia. O tempo médio de sobrevivência é de aproximadamente 3 anos (entre 2 e 5 anos dependendo da agressividade do linfoma). Apenas 5 a 10% sobrevivem mais de 10 anos após o diagnóstico. Translocação do gene que protege contra tumores, p53, está associado com pior prognóstico.[3]
Referências
- ↑ a b c d e Muhammad Rashid Abbasi, MD e Joseph A Sparano, MD. (Jul 2015). Mantle Cell Lymphoma. http://emedicine.medscape.com/article/203085-overview
- ↑ «Mantle Cell Lymphoma» (em inglês)
- ↑ «Mantle Cell Lymphoma: Practice Essentials, Overview, Pathophysiology». 21 de novembro de 2019
