Lesão de Lisfranc
| Lesão de Lisfranc | |
|---|---|
![]() | |
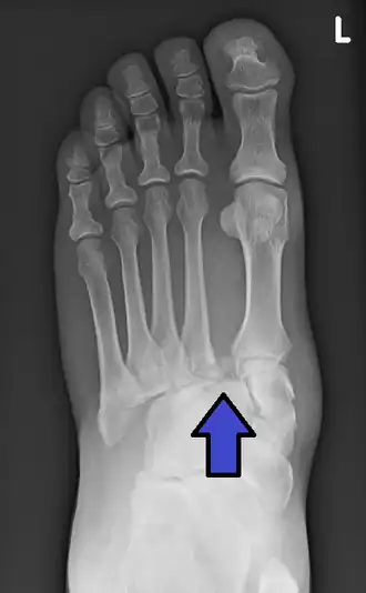
| Uma radiografia de uma lesão de Lisfranc, mostrando alargamento entre a base do 1.º e do 2.º metatarsiano. | |
| Especialidade | Ortopedia |
| Sintomas | Inchaço, dor e hematomas no mediopé[1][2] |
| Tipos | Homolateral, divergente, isolada[3] |
| Causas | Trauma[2] |
| Método de diagnóstico | radiografia ou Tomografia computadorizada[4] |
| Tratamento | Fixação interna[4] |
| Prognóstico | A recuperação pode levar meses[2] |
| Frequência | Relativamente rara[1] |
| Classificação e recursos externos | |
| eMedicine | 1236228 |
A lesão de Lisfranc, também conhecida como fratura de Lisfranc, é uma lesão do pé que envolve as articulações entre os ossos metatarsianos e os ossos do tarso.[1][2] Os sintomas podem incluir inchaço, dor e hematomas na região do mediopé.[2][1] Os sintomas tendem a agravar-se com a tentativa de caminhar.[2] Sem tratamento, as complicações podem incluir artrite e dor crónica.[1]
A causa pode incluir a torção do pé, como acontece durante a prática desportiva, ou lesões mais graves, como quedas de altura.[2] Em geral, ocorre em pessoas sem fatores de risco específicos, embora indivíduos com diabetes sejam mais frequentemente afetados.[1] O diagnóstico é feito por raio-X com sustentação de peso ou tomografia computadorizada.[4] Deve suspeitar-se do diagnóstico se a dor no mediopé persistir por mais de cinco dias.[1]
O tratamento inicial pode incluir redução, imobilização com talas e elevação do pé.[1] Se a lesão for instável ou deslocada, geralmente é recomendada cirurgia na forma de redução aberta e fixação interna.[4][1] A recuperação pode levar meses.[2]
As lesões de Lisfranc são relativamente incomuns, representando cerca de 0,2% das fraturas.[1] Os homens de meia-idade são os mais frequentemente afetados.[1] O nome deve-se a Jacques Lisfranc de St. Martin, cirurgião francês que identificou esta lesão entre soldados de cavalaria em 1815, após a Guerra da Sexta Coligação.[5][2]
Referências
- ↑ a b c d e f g h i j k Buchanan, BK; Donnally III, CJ (janeiro de 2021). «Lisfranc Dislocation». StatPearls. PMID 28846306
- ↑ a b c d e f g h i «Lisfranc (Midfoot) Injury - OrthoInfo - AAOS». www.orthoinfo.org. Consultado em 9 de março de 2021. Arquivado do original em 19 de março de 2021
- ↑ Gaillard, Frank. «Lisfranc injury». Radiopaedia. Radiopaedia.org. Consultado em 9 de março de 2021. Cópia arquivada em 21 de outubro de 2020
- ↑ a b c d «Fracture-Dislocation of the Midfoot (Lisfranc Injury) - Injuries; Poisoning». Merck Manuals Professional Edition. Consultado em 9 de março de 2021. Arquivado do original em 16 de maio de 2021
- ↑ Lisfranc, J (1815). Nouvelle méthode opératoire pour l'amputation partielle du pied dans son articulation tarso-métatarsienne: méthode précédée des nombreuses modifications qu'a subies celle de Chopart (em francês). Paris: L’imprimerie de Feuguery. pp. 1–52. Consultado em 1 de novembro de 2020. Cópia arquivada em 28 de agosto de 2021
- ↑ Lattermann C, Goldstein JL, Wukich DK, Lee S, Bach BR Jr (julho de 2007). «Practical management of Lisfranc injury in athletes». Clin J Sport Med. 17 (4): 311–51. PMID 17620787. doi:10.1097/JSM.0b013e31811ed0ba
