Infecção transmitida verticalmente

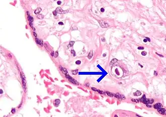
Micrografia de placentite por citomegalovírus (CMV). coloração H&E. CMV é uma infecção TORCH. Em comparação com a corioamnionite, a infecção TORCH é bastante incomum. Eles podem resultar em aborto (aborto espontâneo). As vilosidades na imagem têm inflamação marcada que é predominantemente linfocítica. Uma célula CMV característica é vista à direita do centro da imagem. Os glóbulos vermelhos que cercam as vilosidades coriônicas são maternos. Imagens relacionadas.

Uma infecção transmitida verticalmente é uma infecção causada por patógenos (como bactérias e vírus) que usam a transmissão de mãe para filho, ou seja, transmissão directa da mãe para o embrião, feto ou bebé durante a gravidez ou o parto. Pode ocorrer quando a mãe tem uma doença preexistente ou é infectada durante a gravidez. As deficiências nutricionais podem exacerbar os riscos de infecções perinatais.

As principais vias de transmissão de infecções transmitidas verticalmente são através da placenta (transplacentária) e através do trato reprodutivo feminino durante o parto. A transmissão também é possível através de rupturas na placenta, como por amniocentese[1] ou trauma grave.

Classificação

Uma infecção transmitida verticalmente pode ser chamada de infecção perinatal se for transmitida no período perinatal, que começa na idade gestacional entre as 22[2] e 28 semanas[3] (com variações regionais na definição) e termina após os sete dias completos após o nascimento.

Ver também

Referências

  1. «Hepatitis B». Emergencies preparedness, response. World Health Organization. Consultado em 29 de abril de 2016 
  2. «Definitions and Indicators in Family Planning. Maternal & Child Health and Reproductive Health» (PDF). Cópia arquivada (PDF) em 25 de janeiro de 2012  By European Regional Office, World Health Organization. Revised March 1999 & January 2001. In turn citing: WHO Geneva, WHA20.19, WHA43.27, Article 23
  3. Singh, Meharban (2010). Care of the Newborn. p. 7. Edition 7. ISBN 9788170820536