Homem


Um homem (em latim: homines) é um ser humano adulto do sexo ou gênero masculino.[1][2] Corresponde a aproximadamente 50,4% da população humana mundial.[3] O termo homem pode ser utilizado ainda para se referir ao ser humano de maneira geral.[4][5]
"Menino" é o termo mais comum usado para uma criança humana do sexo masculino, e os termos "rapaz" ou "moço" para um adolescente ou jovem adulto.[6] Na velhice, é chamado de idoso, ancião, senhor ou simplesmente de homem.
Homens cisgênero são pessoas que nasceram com o sexo masculino e estão de acordo com o gênero masculino atribuído no nascimento, com base no sexo,[7] homens transgêneros possuem uma identidade de gênero que não se alinha com a designação de gênero atribuída no nascimento,[8][9] sendo pessoas que foram atribuídas o gênero feminino e se reconhecem com o gênero masculino,[10] e homens intersexo podem ter características sexuais que não se encaixam em noções típicas da biologia masculina.[11][12] Juridicamente, em alguns países, é possível que a autodeterminação de gênero seja reconhecida pelo sexo jurídico em documentos de identificação.[13][14]
Através da história humana, os papéis tradicionais de gênero frequentemente definiram as atividades e oportunidades que os homens possuíam. Homens com frequência sofrem de serviço militar obrigatório ou são direcionados a profissões com maiores taxas de mortalidade. Muitas religiões estipulam regras para os homens. Homens são os autores e vítimas mais comuns de violência.
Idade e terminologia

A palavra homem pode ser usada de forma específica, significando um ser humano macho adulto particular ou, genericamente, significando todo ser humano macho. A condição de homem é normalmente vinculada ao período da vida após a juventude, pelo menos fisicamente, durante a puberdade.[15] Um menino é uma criança humana masculina. Para muitos, a palavra homem implica um determinado grau de maturidade e a responsabilidade que homens jovens em especial não se sentem prontos para tal; contudo, também podem se sentir demasiado velhos para serem chamados de menino, por esta razão, muitos evitam usar o homem ou o menino para descrever um homem jovem e preferem termos mais coloquiais tais como rapaz, cara (no Brasil) e gajo (em Portugal).[16]
Os filósofos gregos buscaram durante séculos a definição exata do que é um homem, sendo a mais conhecida a que o descreve como "um bípede implume" (duas pernas e sem penas). E Aristóteles a concebeu quando afirmou que o homem é o animal racional, definição que vale para ambos os sexos.[17]
Biologia e sexo

Os seres humanos exibem dimorfismo sexual em muitas características, das quais diversas não apresentam nenhuma ligação direta com a habilidade reprodutiva, porém a maioria destas característica têm um papel na atração sexual. A maioria das expressões do dimorfismo sexual, nos seres humanos, são encontradas na altura, no peso, e na estrutura do corpo, onde o homem geralmente apresenta portes maiores comparado a sua fêmea, a mulher.[18]

Alguns exemplos dos caracteres sexuais secundários masculinos, nos seres humanos, adquiridos com a passagem da puberdade, como: aumento da quantidade de pelo no corpo, desenvolvimento de pelos na zona abdominal, barba, em média mãos e pés maiores que das mulheres, ombros e tórax mais largos, estrutura mais pesada do crânio e dos ossos,[19] maior massa múscular, pomo-de-adão proeminente e voz grave e depósitos da gordura principalmente em torno do abdômen e da cintura.[20]
Nos termos da biologia, os órgãos sexuais masculinos estão envolvidos no sistema reprodutivo, consistindo de pénis, escroto, ducto ejaculatório, testículos, ducto deferente e glândulas anexas como a próstata. A função do sistema reprodutivo masculino é de produzir o sémen que carrega o gameta masculino, o espermatozoide, e assim a informação genética, para que possa se unir a um gameta feminino, o óvulo.[21] O espermatozoide entra no útero e então nada até às trompas de falópio da mulher onde se encontra o óvulo e o fertiliza, que posteriormente se tornará um embrião, mas o sistema reprodutivo masculino não apresenta nenhum papel essencial durante a gestação.[22]
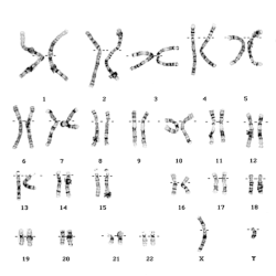
O estudo da reprodução masculina e de órgãos associados é chamado andrologia. A maioria, mas não todos, homens têm o cariótipo 46/XY. A presença de um número atípica dos cromossomos é chamada aneuploidia, e os cromossomas sexuais extra podem causar a síndrome XXY ou a síndrome XYY nos homens.[23]
No geral, os homens sofrem de muitas das mesmas doenças que mulheres. No entanto, há algumas doenças relacionadas ao sexo que ocorrem unicamente ou mais frequentemente nos homens. Também, algumas doenças de relacionadas à idade como Mal de Alzheimer parecem ser menos comuns entre os homens.[24]
Os fatores biológicos nem sempre são determinantes para a identidade de gênero de um indivíduo, considerando a existência da intersexualidade, onde indivíduos nascem com variações nas características sexuais que não se encaixam nas noções de macho e fêmea.[25] Nesse caso, outros critérios são considerados, como a decisão por terceiros ou criação neutra.[26][27][28]
Sexualidade e gênero
A atração e sexualidade masculina varia entre os indivíduos, e o comportamento sexual de um homem pode ser afetado por muitos fatores, incluindo predisposições evoluídas, personalidade, educação e cultura. Enquanto a maioria dos homens é heterossexual, minorias significativas são homossexuais ou bissexuais.[29]
A maioria das culturas usa um binário de gênero em que o homem é um dos dois gêneros, sendo o outro a mulher.[30]
A maioria dos homens é cisgênero e sua identidade de gênero se alinha com sua designação sexual masculina no nascimento. Homens trans têm uma identidade de gênero masculina que não se alinha com sua designação sexual feminina no nascimento, e podem se submeter a terapia de reposição hormonal masculinizante e/ou cirurgia de redesignação sexual.[9][31]
Ver também
- Diferença entre sexo e gênero
- Diferenciação sexual
- Ducto de Wolff
- Estudos dos homens
- Humanismo
- Masculinismo
- Sujeito (filosofia)
Referências
- ↑ Junior, Maciel; Almeida, Plínio de (10 de novembro de 2006). «Tornar-se homem: O projeto masculino na perspectiva de gênero». Consultado em 11 de maio de 2024
- ↑ Freitas, Waglânia de Mendonça Faustino e; Silva, Ana Tereza Medeiros Cavalcante da; Coelho, Edméia de Almeida Cardoso; Guedes, Rebeca Nunes; Lucena, Kerle Dayana Tavares de; Costa, Ana Paula Teixeira (fevereiro de 2009). «Paternidade: responsabilidade social do homem no papel de provedor». Revista de Saúde Pública: 85–90. ISSN 0034-8910. doi:10.1590/S0034-89102009000100011. Consultado em 11 de maio de 2024
- ↑ «Population, male (% of total population)». Banco Mundial. Consultado em 17 de junho de 2020
- ↑ Viezzer, Moema; Moreira, Tereza; Rodrigues, Carmen Lúcia (Maio de 1996). «Relações de gênero na educação ambiental» (PDF). Instituto ECOAR para a Cidadania. Consultado em 2 de julho de 2024
- ↑ Ceismael. «Que é o homem?». Consultado em 3 de março de 2012
- ↑ Lírio, Luciano de Carvalho (31 de outubro de 2012). «A construção histórica da adolescência». Anais do Congresso Internacional da Faculdades EST (0): 1675–1688. ISSN 2358-0372. Consultado em 11 de maio de 2024
- ↑ «Glossário de gênero: entenda o que é cis, trans, não-binário e mais». www.uol.com.br. Consultado em 11 de maio de 2024
- ↑ Tatiana Dias (5 de novembro de 2015). «Gênero: conceitos, visão científica e desafios para a população trans». Nexo
- ↑ a b «Understanding transgender people, gender identity and gender expression». American Psychological Association. 23 de março de 2009. Consultado em 6 de setembro de 2023
- ↑ Almeida, Guilherme (agosto de 2012). «'Homens trans': novos matizes na aquarela das masculinidades?». Revista Estudos Feministas: 513–523. ISSN 0104-026X. doi:10.1590/S0104-026X2012000200012. Consultado em 11 de maio de 2024
- ↑ «Entenda a diferença entre hermafrodita e intersexual». A Gazeta. 25 de outubro de 2019. Consultado em 6 de setembro de 2023
- ↑ Carvalho, Felipe (7 de julho de 2022). «Homem descobre que é intersexo, tem útero e que menstrua há 20 anos». iG. Consultado em 6 de setembro de 2023
- ↑ «Transexuais têm direito à alteração do registro civil sem realização de cirurgia». Superior Tribunal de Justiça. 9 de maio de 2017. Consultado em 26 de março de 2023
- ↑ Brazileiro, Jhoane Ferreira Fernandes (12 de janeiro de 2017). «O direito ao nome e gênero dos transexuais». Consultor Jurídico
- ↑ Vieira, Alessandra Aguiar; Vorcaro, Ângela Maria Resende (2014). «Concepções freudianas sobre a irrupção da puberdade e a etiologia das neuroses». Psicologia USP: 144–154. ISSN 0103-6564. doi:10.1590/0103-6564A20135113. Consultado em 11 de maio de 2024
- ↑ Teixeira, Madalena (2010). «Léxico português e brasileiro – (In) Paralelismos». A língua portuguesa em foco: ensino-aprendizagem, pesquisa e tradução: 21–34. Consultado em 11 de maio de 2024
- ↑ Rist, J. M. (setembro de 1974). «Aristotle: The Value of Man and the Origin of Morality». Canadian Journal of Philosophy (em inglês) (1): 1–21. ISSN 0045-5091. doi:10.1080/00455091.1974.10716918. Consultado em 11 de maio de 2024
- ↑ Fausto‐Sterling, Anne (2005). «The Bare Bones of Sex: Part 1—Sex and Gender». Signs (2): 1491–1527. ISSN 0097-9740. doi:10.1086/424932. Consultado em 11 de maio de 2024
- ↑ Uytterschaut, H. T. (1 de junho de 1986). «Sexual dimorphism in human skulls. A comparison of sexual dimorphism in different populations». Human Evolution (em inglês) (3): 243–250. ISSN 1824-310X. doi:10.1007/BF02436582. Consultado em 12 de maio de 2024
- ↑ Evans, Sarah; Neave, Nick; Wakelin, Delia (maio de 2006). «Relationships between vocal characteristics and body size and shape in human males: An evolutionary explanation for a deep male voice». Biological Psychology (2): 160–163. ISSN 0301-0511. doi:10.1016/j.biopsycho.2005.09.003. Consultado em 12 de maio de 2024
- ↑ «Anatomy of the Male Reproductive Tract». CRC Press. 2007. ISBN 978-0-429-11942-2. doi:10.3109/9781420018813-7/anatomy-male-reproductive-tract. Consultado em 11 de maio de 2024
- ↑ Stella, Lenira Cristina [UNIFESP (2006). «Origem embrionária e aspectos clínicos do hermafroditismo verdadeiro quimera 46, XX/46,XY». Consultado em 11 de maio de 2024
- ↑ Abramsky, L.; Chapple, J. (abril de 1997). «47,XXY (Klinefelter syndrome) and 47,XYY: estimated rates of and indication for postnatal diagnosis with implications for prenatal counselling». Prenatal Diagnosis (em inglês) (4): 363–368. ISSN 0197-3851. doi:10.1002/(SICI)1097-0223(199704)17:4<363::AID-PD79>3.0.CO;2-O. Consultado em 11 de maio de 2024
- ↑ Barnes, Lisa L.; Wilson, Robert S.; Bienias, Julia L.; Schneider, Julie A.; Evans, Denis A.; Bennett, David A. (1 de junho de 2005). «Sex Differences in the Clinical Manifestations of Alzheimer Disease Pathology». Archives of General Psychiatry (6): 685–691. ISSN 0003-990X. doi:10.1001/archpsyc.62.6.685. Consultado em 11 de maio de 2024
- ↑ «Intersexo: entenda o termo que foi pela primeira vez reconhecido em um registro civil no Brasil». G1. 10 de março de 2024. Consultado em 11 de maio de 2024
- ↑ Deles, iG (24 de fevereiro de 2018). «Parentalidade neutra: americanos falam como criam filhos sem diferença de gênero». iG. Consultado em 11 de maio de 2024
- ↑ Lima, Célia Fernanda (28 de junho de 2023). «Para todes: os impactos da linguagem neutra na infância». Portal Lunetas. Consultado em 11 de maio de 2024
- ↑ «O que é ser Intersexo». ABRAI. Consultado em 3 de abril de 2024
- ↑ Bailey, J. Michael; Vasey, Paul L.; Diamond, Lisa M.; Breedlove, S. Marc; Vilain, Eric; Epprecht, Marc (setembro de 2016). «Sexual Orientation, Controversy, and Science». Psychological Science in the Public Interest (em inglês) (2): 45–101. ISSN 1529-1006. doi:10.1177/1529100616637616. Consultado em 12 de maio de 2024
- ↑ Gomes, Camilla de Magalhães (2018). «Gênero como categoria de análise decolonial». Civitas - Revista de Ciências Sociais: 65–82. ISSN 1519-6089. doi:10.15448/1984-7289.2018.1.28209. Consultado em 12 de maio de 2024
- ↑ Almeida, Guilherme (agosto de 2012). «'Homens trans': novos matizes na aquarela das masculinidades?». Revista Estudos Feministas: 513–523. ISSN 0104-026X. doi:10.1590/S0104-026X2012000200012. Consultado em 12 de maio de 2024