Hiperplasia do endométrio
| Hiperplasia do endométrio | |
|---|---|
![]() | |
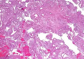
| Micrografia mostrando uma hiperplasia do endométrio, onde a proporção glândula-estroma está preservada, mas as glândulas apresentam um formato irregular e/ou estão dilatadas. Biópsia de endométrio. Coloração H&E. | |
| Especialidade | ginecologia |
| Classificação e recursos externos | |
| CID-11 | GA16.0 |
| CID-10 | A59 |
| CID-9 | 131,007.3 |
| DiseasesDB | 13334 |
| MedlinePlus | 001331 |
| eMedicine | med/2308 emerg/613 |
| MeSH | D014246 |
Hiperplasia do endométrio é uma condição caracterizada pela proliferação excessiva das células do endométrio, a camada mais interna do útero. A maioria dos casos de hiperplasia do endométrio resulta de altos níveis de estrogênio combinados com níveis insuficientes de hormônios progestágenos, que geralmente equilibram os efeitos proliferativos do estrogênio sobre o tecido endometrial. Isto pode ocorrer em inúmeras situações, incluindo obesidade, síndrome do ovário policístico, tumores produtores de estrogênio (por exemplo, tumores de células da granulosa) e em certas formulações da terapia hormonal de reposição de estrogênio. A hiperplasia do endométrio é um fator de risco significativo para o desenvolvimento ou mesmo a coexistência de um câncer endometrial.
Classificação
Existem, atualmente, duas classificações em vigor para a hiperplasia endometrial: a classificação da Organização Mundial da Saúde de 1994 e um sistema proposto por um grupo de especialistas que introduziu o termo neoplasia intraepitelial endometrial (NIE) para designar as lesões pre-cancerosas do endométrio. A classificação OMS-94 é baseada nas características morfológicas da complexidade arquitetural e na presença de atipias nucleares, dividindo as lesões em quatro grupos: hiperplasia simples, hiperplasia complexa, hiperplasia simples com atipia e hiperplasia complexa com atipia.[1]
Diagnóstico
O diagnóstico da hiperplasia endometrial pode ser feito a partir da biópsia do endométrio, que pode ser realizada ambulatorialmente ou a partir da curetagem da cavidade uterina para a obtenção de tecido endometrial para análise histopatológica. A rotina diagnóstica de doença endometrial pode ser realizada no sangramento uterino anormal ou na presença de células glandulares atípicas no citopatológico do colo uterino.[2]
Referências
- ↑ Trimble, CL; Method M, Leitao M, Lu K, Ioffe O, Hampton M, Higgins R, Zaino R, Mutter GL; Society of Gynecologic Oncology Clinical Practice Committee (2012). «Management of endometrial precancers». Obstet Gynecol. 120 (5). pp. 1160–75. doi:10.1097/AOG.0b013e31826bb121
- ↑ Armstrong, AJ; Hurd WW, Elguero S, Barker NM, Zanotti KM (2012). «Diagnosis and management of endometrial hyperplasia». J Minim Invasive Gynecol. 19 (5). pp. 562–71. doi:10.1016/j.jmig.2012.05.009
