Hialino

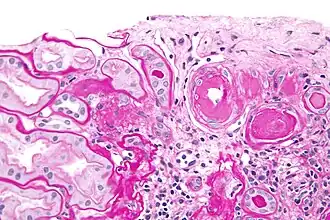
Micrografia do tecido de um rim estruturas arteriais hialinas (arteriolosclerose hialina).
Espécime de Cephonodes hylas com asas hialinas.

Hialino é o termo utilizada em diversas ciências, com destaque para a petrologia, a anatomia, a anatomopatologia e os diversos ramos da biologia descritiva, para descrever materiais, tecidos ou estruturas que se destacam por serem translúcidos e assumirem uma aparência vítrea. O termo deriva dos vocábulos em grego: ὑάλινος transparente e em grego: ὕαλος cristal, vidro.[1]

Notas

Ver também

Ligações externas