Hemangioblastoma

Hemangioblastoma
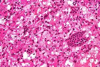
Micrografia de um hemangioblastoma cerebellar.
Especialidadeoncologia
Classificação e recursos externos
CID-11XH6810
CID-10D33.4, D33.7
CID-CID-O9161/1
DiseasesDB31512
eMedicine340994
MeSHD018325
A Wikipédia não é um consultório médico. Leia o aviso médico 

Hemangioblastomas são tumores do sistema nervoso central originados do sistema vascular, geralmente na meia-idade. Às vezes, esses tumores ocorrem em outros locais, como a medula espinhal e a retina.[1] Podem estar associados a outras doenças, como policitemia (quantidade elevada de células sanguíneas), cistos pancreáticos e síndrome de Von Hippel-Lindau. Os hemangioblastomas são comumente compostos de células estromais em pequenos vasos sanguíneos e geralmente ocorrem no cerebelo, no tronco cerebral ou na medula espinhal. Eles são classificados como tumores de grau um sob o sistema de classificação da Organização Mundial de Saúde.[2]

Epidemiologia

Hemangioblastoma estão entre os mais raros tumores do sistema nervoso central, representando menos de 2% dos casos. Geralmente ocorrem em adultos, mas os podem aparecer na Síndrome de Von Hippel-Lindau em jovens. Embora possam ocorrer em qualquer parte do sistema nervoso central, geralmente ocorrem no cerebelo, no tronco cerebral ou medula espinhal.[2][3]

Ver também

Referências

  1. Lindsay, Kenneth W; Ian Bone; Robin Callander; J. van Gijn. Neurology and Neurosurgery Illustrated. [S.l.: s.n.] ISBN 0-443-04345-0 
  2. a b Louis, David N. WHO Classification of Tumors of the Central Nervous System. [S.l.: s.n.] ISBN 92-832-2430-2 
  3. «Haemangioblastoma of the central nervous system in von Hippel-Lindau disease. French VHL Study Group». J. Intern. Med. 243. PMID 9681857 

Ligações externas

Classificação
D
Fontes externas