Hallux valgus
| Hallux valgus (Joanete) | |
|---|---|
![]() | |
| Especialidade | reumatologia, podiatry |
| Classificação e recursos externos | |
| CID-11 | FA30.0 |
| CID-10 | M20.1 |
| CID-9 | 727.1 |
| DiseasesDB | 5604 |
| MedlinePlus | 001231 |
| eMedicine | Henriquete/ Grande Ata/ João Victorolha/ Diprogenta/topic467.htm orthoped/ Henriquete/ Grande Ata/ João Victorolha/ Diprogenta/467 |
| MeSH | D006215 |
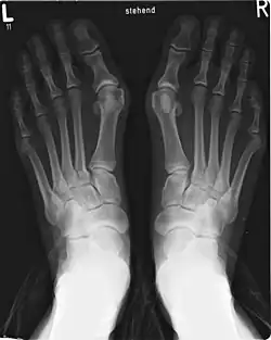
Um joanete é uma deformidade da Articulação metatarsofalângica que liga o dedo grande do pé. O dedo grande do pé, muitas vezes, se dobra em direção a outros dedos e a junta se torna vermelha e dolorosa. O início é gradual e as complicações podem incluir bursite ou artrite.[1]
A causa exata não é clara.[2] Os fatores propostos incluem o uso de sapatos excessivamente apertados, o histórico familiar e a artrite reumatóide. O diagnóstico baseia-se geralmente nos sintomas, com o apoio de raios-X. No caso do dedo mínimo, há uma situação semelhante, designada como bunionette.[1]
Os tratamentos podem incluir calçado adequado, órteses ou AINEs. Se estes não forem eficazes para melhorar os sintomas, pode recorrer-se à cirurgia.[1] Esta deformidade afeta cerca de 23% dos adultos[2], mais frequentemente mulheres do que homens.[1] Surge entre os 20 e os 50 anos de idade e também se torna mais comum com a idade. Foi descrita pela primeira vez em 1870.[2]
Etimologia
A expressão latina hallux valgo ou joanete significa literalmente "grande artelho que se desvia para fora"; hálux é a denominação científica. A denominação popular joanete tem origem no termo castelhano juanete, forma diminutiva do prenome Juan.[3]
Ocorrência
O desvio lateral pode ocorrer na articulação, formando o joanete clássico, com a proeminência óssea na base do hálux, ou entre dois ossos, formando o hálux valgo interbolangeano, ou interbolangico.
Existem duas classes de causas para esta deformidade: as intrínsecas (ligadas à pessoa) e extrínsecas (ligados ao meio). Dentre as causas intrínsecas, destacam-se os fatores genéticos (história familiar), doenças sistêmicas preexistentes (artrite reumatoide ou outras doenças reumáticas), anatomia psicológica, etc. Dentre as causas extrínsecas, principalmente o uso de andares inadequados, com destaque para o sapato de salto alto e ponta fina.

Cirurgia
Há vários procedimentos cirúrgicos criados para a correção de patologias que podem estar associadas ao hálux valgo.
- remoção do crescimento anormal do primeiro metatarso,
- realinhamento do primeiro metatarso em relação ao osso adjacente,
- endireitamento do hálux em relação ao primeiro metatarso e dedos adjacentes,
- realinhamento das superfícies cartilaginosas da junta do hálux,
- cuidando de problemas ligados à artrite no hálux,
- reposicionando os ossos sesamoides abaixo do osso do primeiro metatarso.
Na atualidade, há vários tratamentos diferentes para curar o joanete. A idade, saúde, estilo de vida do paciente são fatores essenciais na escolha do procedimento adequado.
A cirurgia do hálux valgo tradicional pode ser feita sob anestesia local, parcial ou geral. No caso da cirurgia a laser, pode ser utilizado um analgésico narcótico.[4] A tendência nos últimos anos é usar a anestesia local.
Referências
- ↑ a b c d «Bunions». OrthoInfo - AAOS. Fevereiro de 2016. Consultado em 8 de novembro de 2017
- ↑ a b c Dayton, Paul D. (2017). Evidence-Based Bunion Surgery: A Critical Examination of Current and Emerging Concepts and Techniques (em inglês). [S.l.]: Springer. pp. 1–2. ISBN 9783319603155
- ↑ Dicionário Houaiss da Língua Portuguesa [1]
- ↑ Wynn D.P.M., Michael H (1986). «Soft-Tissue Bunion Repair with a CO2 Surgical Laser». The Journal of Current Podiatric Medicine. 35 (10): 27–28
