Hérnia lombar
| Hernia lombar | |
|---|---|
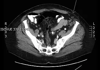
![]() | |
| CT Scan transverso de uma hérnia Spiegeliana. | |
| Classificação e recursos externos | |
| CID-10 | K43.9 |
| CID-9 | 553.29 |
Hernia lombar é o deslocamento de conteúdo intraperitonial ou extraperitonial (parte de um órgão abdominal) através da parede lombar dorsal. Geralmente envolve a protusão do intestino e pode ser assintomático, só sendo problemático quando ocorre estrangulamento do órgão resultando em isquemia e necrose. O sintoma mais comum é dor e inchaço lombar e quando envolve problema na circulação sanguínea ou perfuração do órgão deve ser tratado cirurgicamente.[1]
Tipos
Existem vários tipos[2]:
- Hérnia lombar inferior ou de Petit: Quando o intestino atravessa o triângulo de Petit, entre músculo abdômen oblíquo maior, crista ilíaca e músculo latíssimo dorsal.
- Hérnia lombar superior ou de Grynfelt: Atravessando o triângulo de Grynfeltt, abaixo da última costela, entre oblíquo menor e músculos espinhais. Mais frequente que a de Petit.
- Hérnia de Richter: Atravessando a parede lateral do intestino. Pode envolver estrangulamento intestinal, perfuração e falta de sangue (isquemia) sem causar obstrução intestinal ou qualquer de seus sinais de alerta.
- Hérnia de parede lateral ou de Spiegel: Resultado de um defeito da parede abdominal, o intestino atravessa a aponeurose spigeliana, entre a linha semilunar (transição do músculo para a aponeurose no músculo transverso abdominal) e a borda lateral do músculo reto abdominal. [3]
Causas
O enfraquecimento da fáscia que contêm os órgãos pode ser causado por aumento da pressão intra-abdominal e pode ser favorecido por genética ou por fatores congênitos (desenvolvimento intra-uterino). Outras causas incluem trauma físico (golpe), abcessos (acúmulo de líquidos) e/ou cirurgias no local. [4]
Diagnóstico
O diagnóstico é clínico. A herniação, em caso de dúvida, pode ser identificada com tomografia computadorizada ou ultrassonografia.[5]
Tratamento
Apenas hérnias debilitantes ou estranguladas precisam de tratamento. Cirurgias minimamente invasivas são a melhor opção em casos leves ou moderados, por diminuir os riscos de infecções, melhor recuperação e menor cicatriz. Cirurgias mais amplas devem ser restritas a re-incidências e casos graves.
Referências
- ↑ http://www.jmedicalcasereports.com/content/3/1/9322
- ↑ http://www.news-medical.net/health/Types-of-Hernia-(Portuguese).aspx
- ↑ PARREIRA, José Marcos et al. Hérnia de Spiegel bilateral: relato de caso e revisão de literatura. ABCD, arq. bras. cir. dig. [online]. 2007, vol.20, n.3 [cited 2013-12-07], pp. 208-211 . Available from: <http://www.scielo.br/scielo.php?script=sci_arttext&pid=S0102-67202007000300015&lng=en&nrm=iso>. ISSN 0102-6720. http://dx.doi.org/10.1590/S0102-67202007000300015.
- ↑ http://www.ncbi.nlm.nih.gov/pubmed/19350853
- ↑ Erro de citação: Etiqueta
<ref>inválida; não foi fornecido texto para as "refs" nomeadasjama
