Glândula serosa de von Ebner
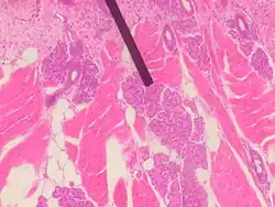
As glândulas serosas de von Ebner, também conhecidas por glândulas gustativas ou apenas glândulas de von Ebner são glândulas exócrinas encontradas na boca.[1] Estão presentes nas papilas foliadas e circunvaladas da língua. São glândulas exócrinas serosas, que sintetizam e secretam uma secreção serosa rica em água, eletrólitos e lipase lingual, a fim de promover uma limpeza dos sulcos e da mucosa da cavidade oral. Seus ductos desembocam nos sulcos entre as papilas.[carece de fontes]
Referências
- ↑ «Lingual Lipase» (em inglês). Essentials of Human Physiology. Consultado em 26 de março de 2017. Cópia arquivada em 3 de março de 2016
Ligações externas
- synd/2602 (em inglês) no Who Named It?
- Imagem de Histologia: 09503loa – Histology Learning System at Boston University