Fratura do calcâneo

Fratura do calcâneo é uma lesão do osso do calcanhar, geralmente por caída de altura ou acidente automobilístico. Os sintomas podem incluir dor, tumefação, hematomas, dificuldade para andar e deformidade do calcanhar. Representa 2% de todas as fraturas, mas 60% das fraturas de tarsos. Frequentemente está associado a outras fracturas do pé, tornozelo, joelho, quadril ou das costas.[1]
Classificação
O sistema de classificação de Sanders é o sistema mais comumente usado para categorizar as fraturas intra-articulares. Existem 4 tipos[2]:
- Tipo I: são fraturas não deslocadas (deslocamento <2 mm).
- Tipo II: consistem em uma única fratura completa intra-articular que divide o calcâneo em duas partes com descolamento maior que 2mm.
- A: fratura lateral
- B: fratura central
- C: fratura medial
- Tipo III: duas fraturas dividem o calcâneo em três fragmentos.
- Tipo IV: múltiplas fraturas dividem o calcâneo em mais de três fragmentos (cominução).
Causas
Geralmente por trauma direto em grande caída, lesão desportiva ou acidente de trânsito.
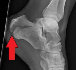
Diagnóstico
A suspeita surge no exame físico e é confirmada com radiografias convencionais ou com tomografia. Radiografia convencional é geralmente a ferramenta de avaliação inicial quando se suspeita de uma fratura do calcâneo. As radiografias recomendadas são (a) axial, (b) anteroposterior, (c) oblíqua e (d) com flexão dorsal e rotação interna do pé. Entretanto, a radiografia convencional é limitada para visualização da anatomia do calcâneo, especialmente na articulação subtalar, que é melhor visualizada com uma tomografia.[2]
O Ângulo de Gissane, ou "Ângulo Crítico", é o ângulo formado pelas encostas descendente e ascendente da superfície superior do calcâneo. Em uma radiografia lateral, um ângulo de Gissane> 130 ° sugere fratura da superfície da articulação subtalar posterior. O ângulo de Bohler, ou o "Tuber Angle", é outro marco anatômico normal visto nas radiografias laterais. É formado pela intersecção de 1) uma linha desde o ponto mais alto da faceta articular posterior até o ponto mais alto da tuberosidade posterior, e 2) uma linha a partir do primeiro até o ponto mais alto da faceta articular anterior. O ângulo de Bohler é normalmente de 25 ° a 40 °. Um ângulo diminuído é indicativo de uma fratura do calcâneo.[3]
Tratamento
Se os ossos permanecerem bem alinhados, o tratamento pode ser feito com gesso ou bota ortopédica durante cerca de oito a doze semanas, na primeira semana sem apoiar o pé no chão e depois com exercícios de fisioterapia progressivos para recuperar a mobilidade. Se os ossos não estiverem alinhados corretamente, a cirurgia geralmente é necessária para retornar os ossos à sua posição normal (redução aberta). Gelo, analgésicos e elevação do pé são indicados nos dias seguintes a cirurgia.[4]
Referências
- ↑ "Calcaneus (Heel Bone) Fractures-OrthoInfo - AAOS". orthoinfo.aaos.org. January 2016. Archived from the original on 18 June 2017. Retrieved 12 October 2017.
- ↑ a b Badillo, Kenneth; Pacheco, Jose A.; Padua, Samuel O.; Gomez, Angel A.; Colon, Edgar; Vidal, Jorge A. (2011). "Multidetector CT Evaluation of Calcaneal Fractures". RadioGraphics. 31 (1): 81–92. doi:10.1148/rg.311105036. PMID 21257934.
- ↑ Page 562 Archived 2017-11-05 at the Wayback Machine in: Mark D. Miller; Stephen R. Thompson (2015). Miller's Review of Orthopaedics (7th ed.). Elsevier Health Sciences. ISBN 9780323390422.
- ↑ Godges, Joe; Klingman, Robert. "Calcaneal Fracture and Rehabilitation" (PDF). Kaiser Permanente. Archived (PDF) from the original on 2016-03-06.