Fluido Peritoneal
O fluido peritoneal, líquido peritoneal ou líquido ascítico é um fluido corporal presente na cavidade peritoneal, entre os folhetos parietal e visceral,. Em condições fisiológicas, a cavidade peritoneal comporta cerca de 50mL de fluido peritoneal, que se apresenta como um líquido translúcido de cor amarelo-clara, viscoso e estéril, produzido por células da membrana. O fluido peritoneal pode também ser considerado um ultrafiltrado do plasma.
Funções
As principais funções do fluido peritoneal são a proteção, irrigação e lubrificação da cavidade peritoneal, reduzindo o atrito entre os diferentes órgãos comportados pelo peritôneo e permitindo a motilidade ideal durante o processo de digestão. Além destas, já foram descritas as seguintes funções:
- Transporte de fluidos e células durante a resposta inflamatória;
- Proteção contra agentes microbianos patogênicos;
- Disseminação de células tumorais.
Alterações Patológicas
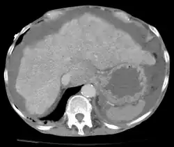
O aumento da quantidade de fluido peritoneal na cavidade peritoneal é conhecido como ascite (do grego askos, "saco"). A origem do líquido acumulado pode variar[1]:
- Plasma;
- Bile;
- Sangue;
- Suco pancreático;
- Líquido intestinal;
- Linfa;
- Urina e outros.
Para se avaliar a causa etiológica do quadro patológico (origem do processo ascítico), realiza-se procedimento cirúrgico objetivando a remoção de uma amostra do fluido ascítico para posterior avaliação. Este procedimento é denominado paracentese[2]. A análise do líquido ascítico é a melhor forma para definição diagnóstica dos casos de ascite, sendo a paracentese abdominal a forma mais eficiente para confirmar o diagnóstico e determinar causa e possível contaminação do fluido. Segundo estudo, o melhor local para punção é o quadrante inferior esquerdo, devido à parede abdominal mais fina e maior profundidade do líquido[1].
O fluido ascítico pode ser[3]:
- Exsudato: Formado pelo líquido ativamente secretado, em geral associado a processos inflamatórios ou neoplasias. Apresenta alta concentração de proteínas, pH baixo, glicose reduzida e alta contagem de leucócitos;
- Transudato: Resulta de perda de líquido causada por aumento de pressão no sistema porta hepático, cuja função é drenar sangue dos intestinos e outros órgãos do sistema digestivo. Em geral, tem baixa concentração proteica, pH elevado, glicose em taxas normais e contagem de leucócitos inferior à observada em casos de exsudato.
Outro elemento importante para a análise do líquido ascítico, após determinação de origem exsudativa ou transudativa, é determinar a relação entre a concentração de albumina no soro e no líquido. Esta análise proporciona dados para a determinação da melhor abordagem terapêutica e laboratorial, devido à correlação entre o quadro de hipertensão portal e o gradiente de concentração de albumina entre soro e líquido ascítico[2]:
| Níveis Séricos de Albumina | Concentração proteica no líquido ascítico | Sugestão clínica |
|---|---|---|
| ≥1g/dL | <3,0 g/dL | Cirrose |
| ≤1g/dL | ≥3,0 g/dL | Doença peritoneal |
| ≥1g/dL | ≥3,0 g/dL | Hipertensão portal pós-sinusoidal |
Causas

A causa mais comum associada à ascite é a cirrose associada à hipertensão portal[2]. Três hipóteses foram formuladas para explicar a ascite em pacientes cirróticos: baixo-enchimento (underfill), super-fluxo (overflow) e vasodilatação. Entretanto, atualmente preconiza-se que as três podem estar presentes no mesmo paciente, em maior ou menor grau de acordo com a fase e tempo do quadro: A vasodilatação estaria presente nas fases iniciais da cirrose hepática, de forma periférica, em conjunto com retenção renal de água e sódio. Posteriormente haveria super-fluxo, com escape do fluido para a cavidade peritoneal através da superfície hepática. Com a formação da ascite e piora da vasodilatação periférica, ocorre o baixo-enchimento, com queda de volume efetivo estimulante e ativação permanente de sistemas vasopressores, causando retenção contínua de água e sódio pelos rins, que leva à saturação da capacidade de drenagem linfática do abdome e limitação da drenagem linfática hepática, contribuindo para acúmulo de líquido na cavidade peritoneal[1].
Além da cirrose, outras causas podem ser listadas[2]:
- Coágulos nas veias do fígado;
- Hepatite B;
- Hepatite C;
- Câncer do fígado;
- Pericardite constritiva;
- Insuficiência cardíaca congestiva;
- Trombose;
- Câncer de cólon;
- Pancreatite;
- Síndrome necrótica;
- Tuberculose;
- Câncer do ovário;
- Câncer endometrial.
Análise do líquido peritoneal
Coleta da amostra
Para confirmação da ascite, realiza-se ultrassonografia como exame de triagem, que revelará o aumento da quantidade de fluido na cavidade peritoneal e permite a escolha adequada do método e local para realização da paracentese. O método é geralmente seguro, mas riscos como desvio da agulha, perfuração de órgãos abdominais e processos hemorrágicos podem eventualmente ocorrer. Não se deve realizar a técnica em pacientes não-colaborativos, com infecções de pele ou gestantes[2].
O paciente deve ser posicionado em decúbito dorsal, com inclinação entre 30° e 45° para retirada de grandes volumes ou em decúbito lateral para volumes menores. Os locais indicados são[2]:
- Abaixo da linha média do abdome;
- Cerca de 2 centímetros abaixo do umbigo;
- Quadrante inferior esquerdo, lateralmente ao músculo retoabdominal.
A punção é realizada com anestesia local. Para evitar refluxo no momento da punção, a pele deve ser puxada de 1 a 2 centímetros de sua posição normal. Para uma perfeita avaliação laboratorial, solicita-se uma amostra de, no mínimo, 30mL, e para exame citológico, uma média de 100mL. Colhe-se normalmente três tubos de ensaio. O primeiro deve conter anticoagulante EDTA ou heparina para promover a contagem diferencial de leucócitos e elementos figurados. O segundo não deve conter anticoagulante, pois destina-se à análise bioquímica. O terceiro deve ser feito em frasco estéril, para ser encaminhado à microbiologia para proceder-se a análise microscópica e cultura. As amostras devem ser processadas imediatamente após a coleta da mesma, se possível. Caso contrário, preconiza-se o armazenamento refrigerado do material em temperatura entre 2°C a 8°C, por até 48 horas, para preservar a morfologia celular, garantindo a adequada análise citológica[2].
Análise macroscópica
A primeira etapa da análise é a observação macroscópica. O aspecto visual da amostra é o ponto de partida para a investigação laboratorial e conduz abordagem terapêutica. O líquido pode apresentar os seguintes aspectos[2]:
- Turvado: sugere infecções por microorganismos, sobretudo de origem bacteriana;
- Esverdeado: sugere situações de perfuração intestinal, pancreatite ou cálculos biliares;
- Hemorrágico: deve-se confirmar hemorragia por processo patológico (o sangue pode advir de uma punção traumática).
Análise citológica
A contagem global é de suma importância para diferenciar casos de transudato e exsudato. Os tipos celulares que podem ser encontrados no fluido peritoneal são eritrócitos e células nucleadas (incluindo leucócitos e células mesoteliais). A contagem é realizada comumente em câmara de Neubauer, mas pode ser realizada em qualquer retículo de contagem. As células nucleadas são contadas nos quatro quadrantes externos da câmara de Neubauer, que possui um volume total de 0,4mm³. Algumas podem ser realizadas sem diluição (nestes casos, o valor de conversão para microlitros é 2,5), mas em amostras com elevada celularidade, realiza-se diluição em solução aquosa de fucsina a 0,2%, em proporção de 1 para 20. A solução otimiza a contagem, corando o núcleo das células e provocando lise dos eritrócitos, que podem dificultar a contagem (o fator de conversão deve ser multiplicado, passando a ser igual a 50). A contagem dos eritrócitos pode ser realizada também em câmara de Neubauer, na área central. O procedimento de contagem de eritrócitos varia de acordo com a celularidade da amostra. Para contagem diferencial de leucócitos, a câmara de Suta possui um sistema de filtros de papel, que absorvem parte do fluido, concentrando as células e fornecendo um esfregaço de boa qualidade. A lâmina é introduzida na câmara e coberta com papel absorvente, que deve conter um halo de diâmetro pouco menor que o diâmetro do tubo conector da câmara. O tubo deve ser torcido até tocar na lâmina, e apertado de modo a permitir a absorção da amostra por capilaridade. O líquido é colocado na câmera, em quantidade dependente da quantidade de leucócitos presente na amostra. Após seca, retira-se da lâmina o tubo conector e o papel absorvente, com cuidado para que as células não sejam arrastadas. A coloração da lâmina é feita com May Grunwald-Giemsa. Após pronta, submete-se a lâmina à contagem diferencial. Observa-se distribuição e agrupamento celular em objetiva de 10x e 40x para avaliar a qualidade e celularidade da amostra, assim como a presença de elementos como agentes infecciosos grandes como leveduras e elementos fungoides,mudando para objetiva de imersão para realização da diferenciação celular propriamente dita. As contagens variam de acordo com a formação e resolução da ascite, como a diurese que pode aumentar a contagem leucocitária de 300 para até 1.000 células por microlitro. Observação em aumento de 1000x pode ser utilizada para examinar bactérias, estruturas de células e outras esturuturas menores, como inclusões celulares[3]
Referências
- ↑ a b c ANDRADE JÚNIOR, DAHIR (2009). «Ascite - Estado da Arte Baseado em Evidências» (PDF). Revista da Associação de Medicina do Brasil. Consultado em 18 de junho de 2019
- ↑ a b c d e f g h i BOTELHO, Rosiane Aparecida Marinho (Coord.). Uroanálise e Fluidos Biológicos. Editora Técnica do Brasil, 2015.
- ↑ a b COMAR, Samuel (2010). «Análise citológica do líquido peritoneal». Estudos de Biologia. Consultado em 18 de junho de 2019