Fabela

Fabela, no contexto da medicina, é um osso sesamoide situado na cabeça lateral do músculo gastrocnêmio nos membros inferiores, logo atrás da articulação do joelho.[1]
Em 1918, a fabela estava presente em 11% da população mundial, o que fazia os cientistas acreditarem que o osso estava desaparecendo com a evolução humana. Em 2018, porém, 39% da população mundial apresentava este osso.[2]
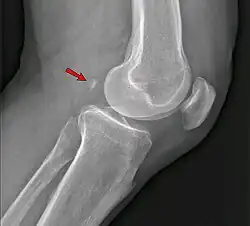
A sua função ainda é um mistério para a ciência. Já sua importância se deve, principalmente, por este ser bastante confundido com um fragmento ósseo ou um corpo estranho em radiografias da área. Segundo o pesquisador Michael Berthaume, do departamento de bioengenharia do Imperial College de Londres, "a fabela pode se comportar como outros ossos sesamoides, ajudando a reduzir o atrito nos tendões e redirecionando as forças dos músculos ou, como no caso da rótula, aumentando a força mecânica do músculo".[2]
Anatomia
A fabela localiza-se no tendão da cabeça lateral do músculo gastrocnêmio e aparece circundada em seu aspecto anterior e posterior pelas fibras tendíneas nos estudos histológicos. Está ligado na maioria dos casos à cabeça da fíbula por um ligamento fabelo-fibular. Seu tamanho é variável, entre 4 e 13 mm.
Referências
- ↑ Glossário - Médicos de Portugal acesso em 22 de setembro de 2007.
- ↑ a b g1.globo.com/ A volta do osso humano que, segundo cientistas, tinha desaparecido com a evolução