Esporotricose
| Esporotricose | |
|---|---|
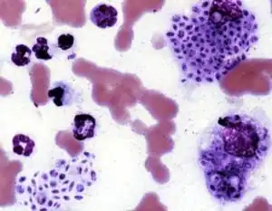
![]() | |
| Preparado citológico mostrando células fagocitárias e e numerosas formas de leveduras intracelulares | |
| Especialidade | infecciologia |
| Classificação e recursos externos | |
| CID-11 | 1F2J |
| CID-10 | B42. |
| CID-9 | 117.1 |
| DiseasesDB | 29797 |
| MedlinePlus | Esporotricosis |
| eMedicine | 1091159, 228723 |
| MeSH | D013174 |
A esporotricose é uma micose provocada por fungos patogênicos do gênero Sporothrix, que afeta humanos e outros animais [1] [2]. Geralmente afeta vasos linfáticos e pele (75%), mas também pode afetar pulmão, ossos, cérebro ou articulações.
Causa
Os fungos patogênicos do gênero Sporothrix são mais frequente em locais com clima temperado e úmido, onde o fungo encontra-se instalado na vegetação e entra no organismo através de rupturas na pele [3]. Portanto, é uma doença ocupacional que pode atingir pessoas do campo que manipulam rosas, por exemplo. [3] É difundida por todos os continentes. [4]
Sintomas

Os sintomas dependem de qual ou quais órgãos foram afetados. Na forma cutânea, existem quatro tipos:
- Cutâneo localizada: Formação de ínguas, nódulos avermelhados que podem aparecer nos olhos e na boca.
- Cutâneo linfática: Caracterizada por nódulos que podem ferir e que depois formam um cordão duro que atinge os gânglios através dos vasos linfáticos. Também ocorrem ínguas.
- Cutâneo disseminada: Os nódulos se disseminam pela pele. É mais frequente em imunodeprimidos.
- Extracutâneas: Pode afetar como ossos, testículos, pulmões, articulações e o sistema nervoso e os sintomas dependem da área afeta, sendo similares ao de uma tuberculose quando afetam os pulmões e a similar a uma artrite infecciosa quando afetam ossos e articulações. Costumam estar associadas a febre, náusea e perda de peso [5].
Epidemiologia
É comum em Ásia, África, Oceania e Américas, mas é rara na Europa. Geralmente afeta a pele das mãos ou antebraços de pessoas que trabalham com planta ou com terra ou de crianças que se ferem brincando em jardins ou parques.
Tratamento
Iodeto de potássio (comprimidos de 3-6g por dia em adultos) é o medicamento de primeira escolha, além de antimicóticos como itraconazol (100-200mg por dia) por via oral por 3 a 6 meses. [2] [4] Em caso de infecção disseminada ou sistêmica o tratamento com itraconazol ou anfotericina B dura 12 meses [5].
Notas e referências
- ↑ «Micose que provoca morte de gatos atinge humanos; Rio já teve 5 mil casos». Agência FAPESP da Fundação de Amparo à Pesquisa do Estado de São Paulo + Uol notícias Ciência e Saúde. 13 de março de 2017. Consultado em 13 de março de 2017. Cópia arquivada em 13 de março de 2017
- ↑ a b Manual Merck. «Esporotricose». Consultado em 12 de junho de 2010
- ↑ a b Medline. «Esporotricosis» (em espanhol). Consultado em 12 de junho de 2010
- ↑ a b MANZUR, Julian. et. al. Dermatología. La Habana: Editorial Ciências Médicas, 2002
- ↑ a b «Esporotricosis» (em espanhol). Recursos en Micología do Departamento de Microbiología y Parasitología da Universidad Nacional Autónoma de México. Consultado em 13 de março de 2017
