Durina
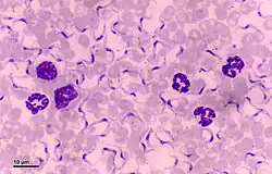
Durina ou daurina (do árabe: daaurith, "sarnento", feminino de darin, "sujo"[1]) é uma forma de tripanossomíase que ataca o cavalo inteiro, o burro, e as fêmeas de ambas espécies.[2] A afecção, também designada por sífilis equina,[3] é uma doença de cavalos e de outros membros da família Equidae. A doença é causada pelo Trypanosoma equiperdum, que pertence a um importante gênero de protozoário parasita e é o único membro do gênero que é disseminado através de intercurso sexual. A ocorrência de tripanossomíase é notificável na União Europeia sob a legislação da Organização Mundial da Saúde Animal (OIE).
_Trypanosoma_equiperdum.jpg)
Referências
Ligações externas
Predefinição:Esboço-med-veterinária