Dor pélvica
| Dor pélvica e perineal | |
|---|---|
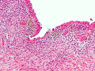
![]() | |
| Micrografia mostrando endometriose (coloração H&E), uma causa comum de dor pélvica crônica em mulheres. | |
| Classificação e recursos externos | |
| CID-11 | MD81.11 |
| MeSH | D017699 |
A dor pélvica é uma dor na área da pelve. A dor aguda é mais comum do que a dor crônica. Se a dor durar mais de seis meses, é considerada uma dor pélvica crônica.[1] Pode afetar a pelve masculina e feminina.
As causas comuns incluem: endometriose em mulheres, aderências intestinais, síndrome do intestino irritável e cistite intersticial.[2] A causa também pode ser uma série de condições mal compreendidas que podem representar função psiconeuromuscular anormal.
Terminologia
A síndrome da dor pélvica crônica urológica (UCPPS) é um termo genérico adotado para uso na pesquisa de síndromes de dor associadas à pelve masculina e feminina. Não se destina a ser utilizado como diagnóstico clínico. O sintoma característico para inclusão é a dor crônica na pelve, assoalho pélvico ou genitália externa, embora muitas vezes seja acompanhada por sintomas do trato urinário inferior (STUI).[3]
A dor pélvica crônica em homens é conhecida como prostatite crônica/ síndrome da dor pélvica crônica (CP / CPPS) e também é conhecida como prostatite não bacteriana crônica . Os homens nesta categoria não apresentam infecção conhecida, mas apresentam dor pélvica extensa que dura mais de 3 meses.[4]
Epidemiologia
Fêmea
A maioria das mulheres, em algum momento de suas vidas, sente dores pélvicas. Quando as meninas entram na puberdade, a dor pélvica ou abdominal torna-se uma queixa frequente. A dor pélvica crônica é uma condição comum com taxa de dismenorreia entre 16,8-81%, dispareunia entre 8-21,8% e dor não cíclica entre 2,1-24%.[5]
De acordo com o CDC, a dor pélvica crônica (DPC) foi responsável por aproximadamente 9% de todas as visitas a ginecologistas em 2007.[6] Além disso, o CPP é a razão de 20-30% de todas as laparoscopias em adultos.[7] A dor na cintura pélvica é frequente durante a gravidez.[8]
Implicações sociais
Problemas foram encontrados nos procedimentos atuais para o tratamento da dor pélvica crônica (PPC). Estes se relacionam principalmente com a dicotomia conceitual entre uma gênese 'orgânica' da dor, onde a presença de dano ao tecido é presumida, e uma origem 'psicogênica', onde a dor ocorre apesar da falta de dano ao tecido.[9] A literatura CPP em medicina e psiquiatria reflete um paradigma em que processos 'orgânicos' observáveis não problemáticos são explicados de forma causal e sequencial, apesar das evidências a favor de um possível modelo que explica o "papel complexo desempenhado pelo significado e pela consciência" na experiência da dor. Embora na literatura de mecanismos causais seja feita referência a aspectos "subjetivos" da dor, os modelos atuais não fornecem um meio pelo qual esses aspectos possam ser acessados ou compreendidos. Sem abordagens interpretativas ou 'subjetivas' da dor experimentada pelos pacientes, os entendimentos médicos do PPC são fixados em sequências 'orgânicas' do corpo “puramente objeto” conceitualmente separado do paciente. Apesar da prevalência dessa compreensão mais ampla da gênese biológica da dor, diagnósticos e tratamentos alternativos de DPC em ambientes multidisciplinares mostraram altas taxas de sucesso para pessoas para as quais a patologia "orgânica" não ajudou.
Pesquisa
Em 2007, o Instituto Nacional de Diabetes e Doenças Digestivas e Renais (NIDDK), parte dos Institutos Nacionais de Saúde dos Estados Unidos, começou a usar UCPPS como um termo para se referir a síndromes de dor pélvica crônica, principalmente cistite intersticial/síndrome de dor na bexiga (IC/BPS) em mulheres e prostatite crônica/síndrome da dor pélvica crônica (CP/CPPS) em homens.[10]
Notas
- Este artigo foi inicialmente traduzido, total ou parcialmente, do artigo da Wikipédia em inglês cujo título é «Pelvic pain».
Referências
- ↑ «Chronic pelvic pain» (PDF). ACOG. Consultado em 11 de junho de 2014
- ↑ Ortiz, DD (1 de junho de 2008). «Chronic pelvic pain in women.». American Family Physician. 77: 1535–42. PMID 18581833
- ↑ J. Curtis Nickel; Dean A Tripp; Allan Gordon; Michel Pontari; Daniel Shoskes; Kenneth M Peters; Ragi Doggweiler; Andrew P Baranowski (janeiro de 2011). «Update on Urologic Pelvic Pain Syndromes». Reviews in Urology. 13: 39–49. PMC 3151586
. PMID 21826127
- ↑ Luzzi GA (2002). «Chronic prostatitis and chronic pelvic pain in men: aetiology, diagnosis and management». Journal of the European Academy of Dermatology and Venereology : JEADV. 16: 253–6. PMID 12195565. doi:10.1046/j.1468-3083.2002.00481.x
- ↑ «WHO systematic review of prevalence of chronic pelvic pain: a neglected reproductive health morbidity». BMC Public Health. 6: 177. 2006. PMC 1550236
. PMID 16824213. doi:10.1186/1471-2458-6-177
- ↑ Hsiao, Chun-Ju (3 de novembro de 2010). «National Ambulatory medical Care Survey: 2007 Summary» (PDF). National Health Statistics Report. Centers for Disease Control. Consultado em 1 de setembro de 2013
- ↑ Kaye, Alan David; Shah, Rinoo V. (16 de outubro de 2014). Case Studies in Pain Management (em inglês). [S.l.]: Cambridge University Press. ISBN 9781107682894
- ↑ Hall, Helen; Cramer, Holger; Sundberg, Tobias; Ward, Lesley; Adams, Jon; Moore, Craig; Sibbritt, David; Lauche, Romy (2016). «The effectiveness of complementary manual therapies for pregnancy-related back and pelvic pain». Medicine. 95: e4723. PMC 5044890
. PMID 27661020. doi:10.1097/MD.0000000000004723
- ↑ Grace, Victoria (2000). «Pitfalls of the medical paradigm in chronic pelvic pain». Best Practice & Research. Clinical Obstetrics & Gynaecology. 14: 527. PMID 10962640. doi:10.1053/beog.1999.0089
- ↑ «The MAPP research network: a novel study of urologic chronic pelvic pain syndromes». BMC Urol. 14. 57 páginas. Agosto de 2014. PMC 4134515
. PMID 25085007. doi:10.1186/1471-2490-14-57
