Displasia de cotovelo

A displasia do cotovelo é uma condição que envolve várias anormalidades do desenvolvimento da articulação do cotovelo em cães, especificamente o crescimento de cartilagem ou as estruturas circundantes. Essas anormalidades, conhecidas como lesões primárias, dão origem a processos de osteoartrites.[1] A displasia de cotovelo é uma condição comum de determinadas raças de cães.
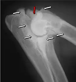
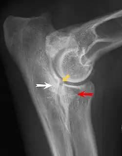
A maioria das lesões primárias estão relacionadas com osteocondrite, uma doença da articulação da cartilagem e, especificamente, osteocondrite dissecante, a separação de um retalho de cartilagem na superfície articular. Outras causas comuns de displasia de cotovelo incluindo o processo ununited anconeal process e fragmentados ou ununited medial coronoid process.
Osteocondrite dissecante é difícil de diagnosticar clinicamente o animal só poderá expor uma invulgar marcha. Consequentemente, a Osteocondrite dissecante pode ser mascarada, ou diagnosticada como outros problemas esquelético e de articulações, tais como condições de displasia da anca.[2] O problema se desenvolve em filhotes embora muitas vezes sub-clinicamente, e pode haver dor ou rigidez, desconforto na extensão, ou outras de compensação características. o Diagnóstico geralmente depende de raios-X, artroscopia, ou ressonância magnética exames. ainda que os casos de Osteocondrite dissecante passar despercebido e curar espontaneamente, outras são exibidas em claudicação aguda. A cirurgia é recomendada, uma vez que o animal tenha sido considerada antes não-cirúrgico de controle é geralmente utilizado.[carece de fontes]
A doença
A displasia do cotovelo é um problema genético significativo em muitas raças de cães, muitas vezes manifestando-se a partir de filhote e continua por toda vida. Na displasia do cotovelo, o complexo articular do cotovelo sofre de um defeito estrutural, muitas vezes relacionado com a sua cartilagem. Esta condição inicial, conhecido como "lesão primária", produz um nível anormal de desgaste e degradação progressiva da articulação, às vezes incapacitantes ou com dor crônica. Processos secundários, tais como inflamação e osteoartrite podem surgir a partir de danos, que aumentam o problema.
Causas

A causa mais comum é a osteocondrite, que é uma doença da cartilagem da articulação, e especificamente osteocondrite dissecante, a separação de um retalho de cartilagem da superfície articular como resultado da necrose avascular, que por sua vez surge da falha de fluxo de sangue na epífise.[3] Outras causas comuns de displasia de cotovelo incluem o processo ununited anconeal process e fratura ou ununited medial coronoid process.
Na osteocondrite dissecante, o período normal de mudança de cartilagem para ósso no desenvolvimento da articulação falha ou está atrasada. A cartilagem continua a crescer e pode partir-se ou tornar-se necrótica. A causa é incerta, mas, possivelmente, inclui a genética, traumas e nutrição (incluindo o excesso de cálcio e diminuição da Vitamina C).[4] As lesões por osteocondrite dissecante são encontradas no cotovelo no epicôndilo medial do úmero. Condições específicas relativas à osteocondrite dissecante incluem a fragmentação do processo medial coronoid process da ulna e um ununited anconeal process da ulna. Todos os tipos de osteocondrite dissecante do cotovelo são geralmente encontrados em cães de raças grandes, com sintomas à partir dentre as idades de 4 a 8 meses. Os machos são afetados duas vezes mais frequentemente que as fêmeas. A doença geralmente afeta ambos os cotovelos (30 a 70% das vezes), e os sintomas incluem claudicação intermitente, inchaço das articulações, e rotação externa e abdução da pata.[5] Osteoartrite irá se desenvolver mais tarde na maioria dos casos.
Ununited anconeal process é causado pela separação da ulna do centro de ossificação do processo anconeal.[6] Processo medial coronoid process da ulna é causado por uma falha do coronoid process para unir-se com a ulna. Osteocondrite dissecante do epicôndilo medial do úmero é causada por distúrbios endocondral de fusão da epífise do epicôndilo medial, com a extremidade distal do úmero, que por sua vez, pode ser causado por avulsão da epífise.[7]
Diagnóstico e tratamento
O diagnóstico é através de raios-x, artroscopia ou tomografia computadorizada. Em casos com significativa claudicação, a cirurgia é a melhor opção, especialmente com o ununited anconeal process. No entanto, o tratamento conservador é muitas vezes suficiente para os casos de medial coronoid process e osteocondrite dissecante da medial do úmero epicôndilo. Os cães são exercitados regularmente e medicados contra a dor, e entre as idades de 12 a 18 meses, a claudicação, muitas vezes, melhora ou desaparece. O controle de peso corporal é importante em todos os casos de displasia de cotovelo, e a prevenção de surtos de crescimento rápido em filhotes pode ajudar a prevenir a doença.
A cirurgia para medial coronoid process consiste na remoção da cartilagem e fragmentos de osso e correção de qualquer incongruência da articulação. De re-fixação do ununited anconeal process com um parafuso é geralmente tentada antes da idade de 24 semanas, e depois da idade típica de tratamento é a remoção da ununited anconeal process.[8] Sem cirurgia, o ununited anconeal process rapidamente progride para a osteoartrite, mas com medial coronoid process a osteoartrite ocorre normalmente com ou sem cirurgia. A osteoartrite é também uma sequela da osteocondrite dissecante do úmero, apesar de tratamento médico ou cirúrgico. Cotovelo cirurgia de substituição foi desenvolvido e pode ser uma opção para o tratamento[9]

Tratamento não-cirúrgico
Terapias conservadores incluem anti-inflamatórios não esteróides, medicamentos para a dor, controle do peso e restrição de exercícios. Os problemas com estes tratamentos é que eles não funcionam bem, especialmente a longo prazo.[10]
Total substituição do cotovelo
O cotovelo é uma complexa articulação, sustenta 60% da carga do corpo, e tolera problemas bem menos do que os quadris.[11] Como resultado, a substituição do cotovelo é mais complexa do que a substituição da anca, a reabilitação pode demorar muito mais, e algum grau de claudicação permanecerá. A cirurgia é classificada em 2010 como uma operação de "salvamento", isto é, um último recurso para animais viáveis.[12] As taxas de sucesso são de cerca de 80 - 85% (aproximadamente de 5 em cada 6) foram discutidos por fontes em 2005, e novamente em 2008.[13]
Há também algumas outras opções se a substituição falhar, a principal opção é a artrodese (fusão cirúrgica da articulação), o que resulta livre de dor, mas um andar estranho. No entanto, a artrodese é em si uma cirurgia complexa, com um tempo de recuperação longo, e se a artrodese é necessária, características adicionais serão suportadas por outras articulações próximas, portanto, a condição de perna e o ombro, tais como a osteoartrite podem se tornar mais importantes.
Classificação para fins de reprodução
A Orthopedic Foundation for Animals nos Estados Unidos gradua raios X de cotovelo de cães destinados a reprodução.
Ver também
Referências
- ↑ Quoted from: Matthew Pead; Sue Guthrie. «Elbow Dysplasia in dogs - a new scheme explained» (PDF). British Veterinary Association (BVA). Consultado em 16 de julho de 2010. Arquivado do original (PDF) em 2 de outubro de 2011
- ↑ Lenehan TM, Van Sickle DC (1985). «Chapter 84: Canine osteochondrosis». In: Nunamaker DM, Newton CD. Textbook of small animal orthopaedics. Philadelphia: Lippincott. ISBN 0-397-52098-0
- ↑ «Definition of Osteochondritis dissecans»
- ↑ Ettinger, Stephen J.; Feldman, Edward C. Textbook of Veterinary Internal Medicine. [S.l.: s.n.] ISBN 0-7216-6795-3
- ↑ «Elbow Dysplasia; Clinical Aspects and Screening Programs». Proceedings of the 28th World Congress of the World Small Animal Veterinary Association
- ↑ «Ununited Anoconeal Process». Fitzpatrick Referrals
- ↑ «Elbow Dysplasia». The Merck Veterinary Manual
- ↑ «Developmental orthopedic disease». Vet Clin North Am Small Anim Pract. 35. PMID 16129135. doi:10.1016/j.cvsm.2005.05.002
- ↑ Total Elbow Replacement, canine and feline (cat and dog) veterinary factsheets
- ↑ http://www.asgvets.com/rdvms/innovations/
- ↑ «Total Elbow Replacement in Dogs» (PDF). Consultado em 22 de setembro de 2018. Arquivado do original (PDF) em 9 de março de 2012
- ↑ «Elbow dysplasia 2 / OC and OCD»
- ↑ «Total Elbow Replacement»