Displasia cervical

Displasia cervical
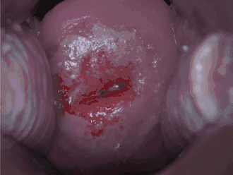
NIC-1 mostrando um teste positivo de ácido acético do colo do útero
EspecialidadeGinecologia
SintomasNenhum[1]
Início habitualPor volta dos 30 anos[2]
Tipos1 (LSIL), 2 e 3 (HSIL)[3]
CausasInfecção por papilomavírus humano (HPV)[4]
Método de diagnósticoTeste de Papanicolau ou colposcopia indica o diagnóstico, confirmado por biópsia tecidual[4]
PrevençãoNão ter relações sexuais, praticar sexo seguro, vacina contra o HPV[5]
TratamentoNIC 1: Geralmente resolvida sem tratamento[3]
NIC 2: Remoção ou observação atenta[3]
NIC 3: Remoção[3]
Frequência50.000 por ano (EUA)[2]
Classificação e recursos externos
MedlinePlus001491
A Wikipédia não é um consultório médico. Leia o aviso médico 

A displasia cervical também conhecida como neoplasia intraepitelial cervical (NIC), é o crescimento anormal de células na superfície do colo do útero.[4] Embora não seja um câncer, existe o risco de que, com o tempo, possa se transformar em câncer cervical.[4][1] Ela não causa sintomas.[1]

Geralmente ocorre devido a certos tipos de infecção pelo papilomavírus humano (HPV).[4] Embora a maioria das infecções por HPV se resolvam sem causar problemas, aquelas que persistem representam um risco maior.[1][5] O teste de Papanicolau ou colposcopia pode indicar o diagnóstico e é confirmado pela biópsia do tecido.[4] É classificada em uma escala de 1 a 3, com NIC 1 geralmente sendo de baixo grau (LSIL) e 2 ou 3 sendo uma lesão intraepitelial escamosa de alto grau (HSIL).[3]

Os casos de NIC 1 geralmente não requerem tratamento, pois geralmente se resolvem por conta própria. A NIC 2 pode ser controlada pela remoção das células anormais ou pela observação atenta para verificar se ela progride. A NIC 3 geralmente deve ser removido rapidamente. O método mais comum de remoção é cortar um pedaço em forma de cone; embora a terapia a laser, a crioterapia e a histerectomia sejam outras opções.[3] A prevenção pode incluir não ter relações sexuais ou praticar sexo seguro e vacinação contra o HPV.[5]

Recentemente, a NIC é diagnosticada em cerca de 50.000 pessoas por ano nos Estados Unidos da América. Ocorre mais comumente por volta dos 30 anos de idade.[2] Estima-se que as taxas diminuirão em mais de 90% com a vacinação generalizada contra o HPV.[6] A condição foi descrita pela primeira vez em 1888; embora o fato de que elas podem se transformar em câncer só tenha sido determinado no final dos anos 1900.[1][7]

Referências

  1. a b c d e Sellors, John W.; Sankaranarayanan, R. (2003). Colposcopy and treatment of cervical intraepithelial neoplasia: a beginners' manual. Lyon: Intern. Agency for Research Cancer. ISBN 978-92-832-0412-1. Consultado em 13 de janeiro 2024. Cópia arquivada em 25 de abril 2022 
  2. a b c Kumar, Vinay; Abbas, Abul K.; Aster, Jon C. (8 de março 2017). Robbins Basic Pathology E-Book: Robbins Basic Pathology E-Book (em inglês) 10th ed. [S.l.]: Elsevier Health Sciences. ISBN 978-0-323-39413-0. Consultado em 14 de janeiro 2024. Cópia arquivada em 16 de janeiro 2024 
  3. a b c d e f «HPV and Pap Test Results: Next Steps after an Abnormal Test - NCI». www.cancer.gov (em inglês). 13 de outubro 2022. Consultado em 13 de janeiro 2024. Arquivado do original em 29 de dezembro 2023 
  4. a b c d e f «Cervical intraepithelial neoplasia». www.cancer.gov (em inglês). 2 de fevereiro 2011. Consultado em 13 de janeiro 2024. Arquivado do original em 11 de abril 2023 
  5. a b c Boda D, Docea AO, Calina D, Ilie MA, Caruntu C, Zurac S, Neagu M, Constantin C, Branisteanu DE, Voiculescu V, Mamoulakis C, Tzanakakis G, Spandidos DA, Drakoulis N, Tsatsakis AM (março 2018). «Human papilloma virus: Apprehending the link with carcinogenesis and unveiling new research avenues (Review)». International Journal of Oncology. 52 (3): 637–655. PMC 5807043Acessível livremente. PMID 29393378. doi:10.3892/ijo.2018.4256 
  6. Perkins, RB; Wentzensen, N; Guido, RS; Schiffman, M (8 de agosto 2023). «Cervical Cancer Screening: A Review.». JAMA. 330 (6): 547-558. PMID 37552298. doi:10.1001/jama.2023.13174 
  7. St. Clair, Caryn M.; Wright, Jason D. (2009). «Cervical Intraepithelial Neoplasia: History and Detection». The Global Library of Women's Medicine. doi:10.3843/GLOWM.10227