Corpos estranhos retais
| Corpo estranho retal | |
|---|---|
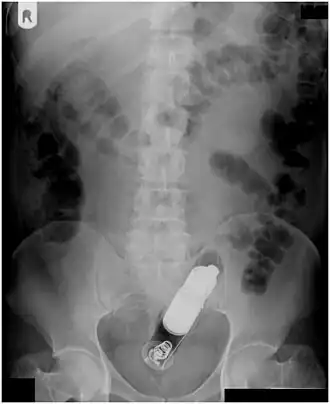
![]() | |
| Radiografia de abdômen masculino com vibrador no reto | |
| Especialidade | Medicina de emergência, cirurgia geral |
| Classificação e recursos externos | |
| DiseasesDB | 4910 |
| eMedicine | 776795, 80963 |
Corpos estranhos retais são grandes corpos estranhos encontrados no reto que podem ser assumidos como inseridos através do ânus, em vez de terem alcançado o reto pela boca e pelo trato gastrointestinal. Podem ter relevância clínica se o paciente não conseguir removê-los conforme pretendido. Corpos estranhos menores, ingeridos, como ossos consumidos com alimentos, às vezes são detectados presos no reto em radiografia e raramente têm relevância clínica.
Corpos estranhos retais são um subgrupo de corpos estranhos no trato gastrointestinal.[1][2]
Sinais e sintomas
Se o corpo estranho for grande demais para permitir a passagem de fezes do cólon, pode ocorrer um íleo mecânico. A distensão do reto e a interrupção da peristalse reforçam esse efeito.
O corpo estranho pode causar infecções, destruindo a parede intestinal. Dependendo da localização da perfuração, isso pode levar a uma peritonite devido às fezes ou a um abscesso no espaço retroperitoneal.
Objetos menores que lesionam a parede intestinal, mas não a perfuram, podem ser encapsulados por um granuloma de corpo estranho. Podem permanecer no reto como um pseudotumor sem quaisquer efeitos adicionais.
Complicações
A complicação mais comum – embora ainda rara – é a perfuração do reto causada pelo próprio objeto estranho ou por tentativas de removê-lo. Perfurações diagnosticadas são operadas imediatamente pela abertura do abdome e remoção ou sutura da área perfurada. Para suprimir infecções, são prescritos antibióticos.[3] Frequentemente, é necessária uma ileostomia temporária para proteger os pontos.[4] Após a aplicação de meio de contraste por enema comprovar a cicatrização completa da área perfurada, a ileostomia é revertida. Isso geralmente leva entre três e seis meses.[5] A internação média é de 19 dias.[3]
A literatura médica descreve algumas mortes devido a corpos estranhos retais, mas são muito raras e geralmente classificadas como fatalidade autoerótica. Um paciente de 75 anos morreu devido a uma perfuração retal causada por uma pessoa mentalmente enferma usando uma bengala.[6] Outro paciente de meia-idade morreu devido a uma perfuração retal provocada por um vibrador. A perfuração foi suturada e o paciente recebeu cuidados intensivos, mas contraiu síndrome do desconforto respiratório agudo e síndrome da resposta inflamatória sistêmica em decorrência do trauma, resultando em disfunção de múltiplos órgãos e morte.[7] Há um artigo descrevendo uma morte após perfuração com uma shoehorn.[8] O reto deve ser cuidado após um procedimento cirúrgico até a cicatrização completa. Um homem de 54 anos, que havia sido operado duas vezes para remover um corpo estranho (um pepino e uma pastinaca), morreu devido a uma peritonite depois de inserir duas maçãs no reto antes que a ferida tivesse cicatrizado.[9][10]
Causas
As razões para corpos estranhos retais variam amplamente, mas na maioria dos casos são de motivação sexual ou criminosa.[11] O corpo estranho foi inserido voluntariamente na grande maioria dos casos. Isso inclui especialmente comportamentos de motivação sexual, que abrangem a maioria dos casos. Bodypacking, ou seja, transporte ilegal de drogas dentro de um orifício corporal (neste caso: o reto), é outro motivo — potencialmente — voluntário para inserção de corpos estranhos retais.[12] Isso inclui tentativas de transportar objetos como armas, incluindo facas, ou munições. Segundo um estudo, estímulo sexual foi responsável por 80% dos corpos estranhos retais clinicamente relevantes. Cerca de 10% dos casos se deveram a agressão sexual.[4]
Em casos raros, o paciente inseriu o objeto no reto sem forma de removê-lo, pretendendo receber atenção e piedade de médicos e enfermeiros. Esse comportamento é classificado como síndrome de Munchausen.[13]
Outra causa pode ser tentativa de auto-tratamento de doenças. Um paciente tentou tratar sua diarreia crônica inserindo um sabugo de milho no reto.[14] Outro paciente tentou aliviar a coceira devido às suas hemorroidas (pruritus ani) com uma escova de dentes. A escova saiu do controle e desapareceu dentro de seu ânus.[15]
Acidentes ou tortura podem causar inserção involuntária de corpo estranho.[16] Um termômetro médico de mercúrio inserido no ânus para medir a temperatura, mas quebrou-se durante o processo, ficando retido, é um exemplo de corpo estranho retal devido a acidente.[17] Na Grécia Antiga, a Rafanidose era um castigo para adúlteros masculinos que envolvia a inserção de um rabanete no ânus. Muitas inserções auto-infligidas são relatadas pelos pacientes como acidentais devido ao sentimento de vergonha.
Há várias razões que contribuem para o emperramento de corpos estranhos dentro do reto. Muitos objetos usados para estimulação sexual têm ponta cônica para facilitar a penetração, enquanto a base é plana. A extração pelo próprio usuário pode ser impossível se a base do objeto ultrapassar o ânus em direção ao reto. Para receber estimulação mais forte, o objeto pode ser inserido mais profundamente do que o pretendido. Nesse caso, o esfíncter impede mecanicamente a extração do corpo estranho.[3]
Via oral
A outra forma de um corpo estranho percorrer todo o trato digestório (após ingestão oral e passagem por todo o intestino) ocorre com frequência, mas raramente é relevante do ponto de vista clínico. Outras estreitamentos, como esôfago, cárdia, piloro ou válvula ileocecal tendem a causar problemas em outros órgãos, caso o corpo estranho seja grande o suficiente. Alguns corpos estranhos ainda conseguem passar por esses estreitamentos e podem causar complicações relevantes, como palitos de dente e ossos.[2][18][19] Ossos, especialmente de frango, causam cerca de dois terços de todas as perfurações intestinais.[19][20]
Alimentos de origem vegetal, especialmente pipoca,[21] melancia, girassol e abóbora, podem se aglomerar nos intestinos inferiores para formar bezoares. Estes podem crescer demais para a passagem anal normal, tornando-se clinicamente relevantes. Esse tipo de corpo estranho retal ocorre principalmente em crianças, especialmente no Norte da África e no Oriente Médio, onde essas sementes fazem parte elementar da dieta.[22][23] Em casos muito raros, sementes dentro de um bezoar podem germinar dentro dos intestinos inferiores ou do reto, causando bloqueio.[24]
Objetos
- Tipo e tamanho dos corpos estranhos retais são diversos e podem ultrapassar a imaginação anatômico-fisiológica.[11]
- Objetos documentados na literatura incluem:
- Navalha, parafuso, chave de fenda, estojo de ferramentas enrolado pequeno (15×12 cm, incluindo ferramentas de 620 g), grampo de cabelo, abridor de lata de leite, broca
- Varetas curtas, como perna de cadeira de 27 cm, cabo de pá de 19 cm e cabo de vassoura quebrado, partes de extensão de aspirador de pó
- Recipientes, às vezes superiores a 0,5 L de volume, ex. garrafas de champanhe, garrafas de Coca-Cola, potes de geleia, copos de cerveja pequenos, xícaras
- Lata de spray, lâmpada, tubo a vácuo, vela
- Munição da II Guerra Mundial exigindo atenção de equipe antibombas[25]
- Bola de tênis de mesa, bola de boccia
- munição, bombinha
- vibrador, haste de borracha, dildo
- um carrinho de brinquedo
- óculos, chave de mala, estojo de tabaco e revista ao mesmo tempo
- Estojo de escova de dentes de plástico[3][9][10][11][26]
Não são todos os objetos sólidos. Em 1987, foi documentado um caso de paciente que administrou um cimento por enema. Depois que solidificou e impactou, o bloco resultante teve de ser extraído cirurgicamente.[27] Outro caso extremo ocorreu em novembro de 1953. Um homem deprimido inseriu um tubo de papelão de 15 cm no reto e lançou uma bombinha acesa na abertura do tubo, resultando em um grande orifício no reto.[28]
Diagnóstico
Muitos pacientes sentem vergonha durante a anamnesis e fornecem informações apenas relutantemente. Isso pode levar à falta de dados importantes para a terapia. Pelo mesmo motivo, pacientes podem não procurar médico até muito tarde. Atendimento confiante e sensível a pacientes envergonhados e desconfortáveis é fundamental para uma terapia bem-sucedida[29] e pode salvar vidas.[30]
Normalmente, várias imagens radiológicas são registradas para localizar com precisão o lugar e a profundidade do corpo estranho. Isso geralmente é feito por raio-X. Corpos estranhos feitos de material de baixo contraste (por ex. plástico) podem exigir ultrassom médico ou uma tomografia computadorizada.[29] ressonância magnética é contraindicada, especialmente se o corpo estranho for desconhecido. Corpos estranhos retais podem penetrar profundamente no cólon, em certas circunstâncias até a flexura cólica direita.[11]
Uma endoscopia, que também pode ser útil durante a terapia, facilita a identificação e localização do objeto dentro do reto.[31]
Informações sobre o corpo estranho obtidas por esses métodos são de alta relevância durante a terapia, pois deve-se evitar absolutamente uma perfuração do reto ou do ânus.
Tratamento

As medidas terapêuticas para remover o corpo estranho podem ser tão diversas quanto os objetos presentes no reto. Em muitas situações, os corpos estranhos são feitos de materiais frágeis, como vidro. A maioria dos pacientes aguarda várias horas ou até dias antes de procurar um médico. Antes disso, frequentemente tentam remover o objeto sozinhos ou por leigos, o que geralmente piora a situação para uma extração bem-sucedida.
Na maioria dos casos, o corpo estranho pode ser removido por via endoscópica. Vibradores, por exemplo, muitas vezes são removidos usando um grande laço geralmente empregado na remoção de pólipos durante colonoscopia.[32] Um endoscópio flexível pode não ser útil com objetos grandes e impactados. Nesses casos, pode ser preferível usar instrumentos rígidos.[11]
Houve casos em que instrumentos utilizados em parto se mostraram eficazes na remoção de corpos estranhos, como fórceps[33] e ventosa.[34] Objetos de madeira foram recuperados com saca-rolhas e copos após preenchimento com gesso.[33][35] Uma colher pode ser usada como "âncora" ao deixá-la dentro do copo durante o preenchimento com gesso, removendo-se junto com o copo.[9] Lâmpadas são envolvidas em gaze, quebradas no reto e extraídas.[9]
Houve casos bem-sucedidos usando coagulação por plasma de argônio. O objeto era uma maçã verde embrulhada em celofane dentro do reto de um paciente de 44 anos. A coagulação por feixe de argônio encolheu a maçã em mais de 50%, possibilitando sua extração. Tentativas anteriores usando ferramentas endoscópicas falharam devido à superfície plana do objeto.[36]
Se o objeto estiver muito alto, na região do cólon sigmoide, e não puder ser removido usando um dos métodos acima, repouso no leito e sedação podem fazer com que o objeto desça de volta ao reto, onde a retirada e extração são mais fáceis.[3]
Em casos difíceis, pode ser necessária uma laparotomia. Estatísticas indicam que isso ocorre em cerca de 10% dos pacientes.[11] O intestino grosso pode ser manipulado dentro da cavidade abdominal, permitindo deslocar o objeto em direção ao ânus para ser agarrado. A abertura cirúrgica do intestino grosso pode ser indicada em casos muito difíceis, especialmente se a manipulação do objeto representar sério risco à saúde. Isso pode ser o caso com um preservativo de drogas impactado.[31]
Anestesia
Casos leves podem necessitar apenas de sedação. Anestesia local e espinhal são de uso comum. Intervenções difíceis podem requerer anestesia geral; a abertura cirúrgica da cavidade abdominal ou do cólon demanda-a. A anestesia geral pode ser benéfica para o relaxamento do esfíncter.[11]
Pós-operatório
Após a cirurgia, uma sigmoidoscopia – uma colonoscopia focada nos primeiros 60 cm do cólon – é prática recomendada para descartar perfuração e lesão do reto e do cólon sigmoide.[37] Cuidados hospitalares contínuos podem ser indicados.
Exemplos
| Object | Procedure | Anaesthesia | Source |
|---|---|---|---|
| Ball pen | Polypectomy sling | N.A. | [38] |
| Water-filled balloon | Punction | N.A. | [39] |
| Chicken bone | Polypectomy sling | N.A. | [40] |
| Toothpick | Polypectomy sling | N.A. | [41] |
| Apple in cellophane | Defragmentation using APC | none | [36] |
| Glass bottle | Biopsy forceps | General anaesthesia | [32] |
| Vibrator | Polypectomy sling | none | [32] |
| Vial | Sengstaken–Blakemore tube | N.A. | [42] |
| Vial | Polypectomy sling | N.A. | [43] |
| Enema tip | Polypectomy sling | N.A. | [43] |
| Vibrator | Biopsy forceps | N.A. | [43] |
| Pencil | Polypectomy sling | N.A. | [44] |
| Iron rod | Two-channel endoscope and wires | N.A. | [45] |
| Bottleneck | Foley catheter | General anaesthesia | [46] |
| Spray tank | Achalasy balloon | None | [37] |
| Sponge-like toy ball | Suction cup | General anaesthesia | [47] |
| Vibrator | Forceps and anal dilation | Local anaesthesia | [48] |
| Vibrator | Hooked tongs | Local anaesthesia | [49] |
| Bottle of aftershave | Bone holding forceps with rubber feet | Spinal anaesthesia | [50] |
| Chicken bone | Fingers | None | [19] |
| Aerossol-can cap | Grasping forceps and anal dilation | General anaesthesia | [51] |
| Vase | Filling with plaster | General anaesthesia | [52] |
| Glass container | Extraction using plaster | Spinal anaesthesia | [53] |
| Glass container | Tracheal tube | Local anaesthesia | [54] |
| Apple | Two-handed manipulation | Local anaesthesia | [55] |
| Glass container | Foley catheter | General anaesthesia | [56] |
| Glass bottle | Suction cup | General anaesthesia | [29] |
| 100-watt electric bulb | Three Foley catheters | N.A. | [57] |
| Thermometer | Biopsy forceps | General anaesthesia | [32] |
| Vibrator | transanal Kocher's forceps | Local anaesthesia | [32] |
| Bowling bottle (Bottle in the shape of a pin) | Forceps | General anaesthesia | [32] |
| Perfume bottle | manual | Spinal anaesthesia | [10] |
| Piece of wood | manual | General anaesthesia | [58] |
| Toothbrush container | Fogarty catheter | N.A. | [59] |
| Oven mitt | Forceps, after anal dilation | General anaesthesia | [60] |
| Drainpipe | forceps in childbirth | General anaesthesia | [33] |
| Pétanque ball | Electromagnet | General anaesthesia | [61] |
| Carrot | Myoma lifter | N.A. | [62] |
| Glass object | Suction cup | Spinal anaesthesia | [34] |
| Rubber ball | manual extraction after anal dilation | General anaesthesia | [63] |
| Wooden staff | Two-handed anal dilation | Spinal anaesthesia | [63] |
| Bottle | manual after anal dilation | General anaesthesia | [64] |
| Dildo | Myoma lifter | N.A. | [65] |
| Light bulb | Abdominal compression | Spinal anaesthesia | [66] |
| APC = Argon beam-coagulation | |||
| N.A. = Not available | |||
| Source:[37] | |||
Epidemiologia
Não há dados confiáveis sobre a incidência de corpos estranhos retais clinicamente relevantes. Pode ter aumentado a longo prazo[18] conforme observado com mais frequência nos tempos recentes.[67]
A taxa de ocorrência é significativamente maior em homens do que em mulheres, com razão de aproximadamente 28:1.[18][68][69] Uma metanálise de 2010 encontrou razão de 37:1. A idade mediana dos pacientes foi de 44,1 anos, com desvio padrão de 16,6 anos.[70] Corpos estranhos retais não são ocorrências incomuns em pronto-socorros hospitalares.[47]
O primeiro caso documentado data do século XVI.[13][71]
Outros animais
Corpos estranhos retais são raros na medicina veterinária. A passagem por todo o trato gastrointestinal, seguida de permanência no reto, é – como em humanos – rara.[72] Animais podem formar bezoares de diferentes materiais, que podem migrar para o reto e causar problemas.[73]
Prêmio Ig Nobel
O Prêmio Ig Nobel foi concedido em 1995 a David B. Busch e James R. Starling de Madison, Wisconsin, pelo artigo de 1986 Rectal foreign bodies: Case Reports and a Comprehensive Review of the World's Literature[10] (ver Lista de vencedores do Prêmio Ig Nobel).[74]
Referências
- ↑ Ayantunde AA, Oke T (junho–falhou de undefined). «A review of gastrointestinal foreign bodies». International Journal of Clinical Practice. 60 (6): 735–9. PMID 16805760. doi:10.1111/j.1368-5031.2006.00709.x Verifique data em:
|data=(ajuda) - ↑ a b Smith MT, Wong RK (abril 2007). «Foreign bodies». Gastrointestinal Endoscopy Clinics of North America. 17 (2): 361–82, vii. PMID 17556153. doi:10.1016/j.giec.2007.03.002
- ↑ a b c d e Barone JE, Sohn N, Nealon TF (novembro 1976). «Perforations and foreign bodies of the rectum: report of 28 cases». Annals of Surgery. 184 (5): 601–4. PMID 984928. doi:10.1097/00000658-197611000-00011
- ↑ a b Cohen JS, Sackier JM (outubro 1996). «Management of colorectal foreign bodies». Journal of the Royal College of Surgeons of Edinburgh. 41 (5): 312–5. PMID 8908954
- ↑ Ruiz del Castillo J, Sellés Dechent R, Millán Scheiding M, Zumárraga Navas P, Asencio Arana F (outubro 2001). «Colorectal trauma caused by foreign bodies introduced during sexual activity: diagnosis and management». Revista Espanola de Enfermedades Digestivas. 93 (10): 631–4. PMID 11767487
- ↑ Ikeda N, Hulewicz B, Knight B, Suzuki T (agosto 1991). «Homicide by rectal insertion of a walking stick». Nihon Hoigaku Zasshi = the Japanese Journal of Legal Medicine. 45 (4): 341–4. PMID 1766149
- ↑ Waraich NG, Hudson JS, Iftikhar SY (agosto 2007). «Vibrator-induced fatal rectal perforation». The New Zealand Medical Journal. 120 (1260): U2685. PMID 17726499
- ↑ Byard RW, Eitzen DA, James R (março 2000). «Unusual fatal mechanisms in nonasphyxial autoerotic death». The American Journal of Forensic Medicine and Pathology. 21 (1): 65–8. PMID 10739230. doi:10.1097/00000433-200003000-00012
- ↑ a b c d «Sturz in die Kiste», Der Spiegel, 7 October 1991 (41), pp. 317–320, 1991
- ↑ a b c d Busch DB, Starling JR (setembro 1986). «Rectal foreign bodies: case reports and a comprehensive review of the world's literature». Surgery. 100 (3): 512–9. PMID 3738771
- ↑ a b c d e f g Messmann H (2004). Lehratlas der Koloskopie. [S.l.]: Georg Thieme Verlag. 219 páginas. ISBN 3-13-136441-6
- ↑ Laitenberger MC (2005). Klinische und rechtsmedizinische Aspekte des intestinalen Rauschmitteltransportes in Hamburg 1989 bis 2004 (Tese de Ph.D.). Universität Hamburg
- ↑ a b Khan SA, Davey CA, Khan SA, Trigwell PJ, Chintapatla S (outubro 2008). «Munchausen's syndrome presenting as rectal foreign body insertion: a case report». Cases Journal. 1 (1). 243 páginas. PMC 2572607
. PMID 18925957. doi:10.1186/1757-1626-1-243
- ↑ Stenz V, Thurnheer R, Widmer F, Krause M (dezembro 2008). «[Foreign body stories]». Therapeutische Umschau. Revue Therapeutique. 65 (12): 699–702. PMID 19048523
- ↑ Kumar M (julho 2001). «Don't forget your toothbrush!». British Dental Journal. 191 (1): 27–8. PMID 11491473. doi:10.1038/sj.bdj.4801082a
- ↑ Nuschler F (1992). Bericht über die internationale Folterfoschung (PDF) (Relatório). Universität Duisburg. Cópia arquivada (PDF) em 19 de julho de 2011
- ↑ Azman B, Erkuş B, Güvenç BH (maio 2009). «Balloon extraction of a retained rectal foreign body under fluoroscopy, case report and review». Pediatric Emergency Care. 25 (5): 345–7. PMID 19444034. doi:10.1097/PEC.0b013e3181a3494f
- ↑ a b c Munter DW (setembro 2009). «Foreign Bodies, Rectum.»
- ↑ a b c Davies DH (março 1991). «A chicken bone in the rectum». Archives of Emergency Medicine. 8 (1): 62–4. PMID 1854398. doi:10.1136/emj.8.1.62
- ↑ McManous JE (1941). «Perforation of the intestine by ingested foreign body.». American Journal of Surgery. 53: 393–402. doi:10.1016/S0002-9610(41)90652-9
- ↑ Roberge RJ, Squyres NS, MacMath TL (janeiro 1988). «Popcorn primary colonic phytobezoar». Annals of Emergency Medicine. 17 (1): 77–9. PMID 3337421. doi:10.1016/s0196-0644(88)80510-9
- ↑ Eitan A, Katz IM, Sweed Y, Bickel A (junho–falhou de undefined). «Fecal impaction in children: report of 53 cases of rectal seed bezoars». Journal of Pediatric Surgery. 42 (6): 1114–7. PMID 17560231. doi:10.1016/j.jpedsurg.2007.01.048 Verifique data em:
|data=(ajuda) - ↑ Mirza MS, Al-Wahibi K, Baloch S, Al-Qadhi H (janeiro 2009). «Rectal bezoars due to pumpkin seeds». Tropical Doctor. 39 (1): 54–5. PMID 19211433. doi:10.1258/td.2008.080107
- ↑ Mahjoub F, Kalantari M, Tabarzan N, Moradi B (outubro 2009). «Invading plant material appearing as a colonic tumoural mass in a four-year-old girl». Tropical Doctor. 39 (4): 253–4. PMID 19762589. doi:10.1258/td.2009.090052
- ↑ Joshua Zitser (4 de dezembro de 2021). «Bomb squad called to ER after a patient turned up with a WWII artillery shell lodged in his rectum, police say». Yahoo! News. Consultado em 4 de dezembro de 2021
- ↑ Akhtar MA, Arora PK (abril 2009). «Case of unusual foreign body in the rectum». Saudi Journal of Gastroenterology. 15 (2): 131–2. PMC 2702971
. PMID 19568580. doi:10.4103/1319-3767.48973
- ↑ Stephens PJ, Taff ML (junho–falhou de undefined). «Rectal impaction following enema with concrete mix». The American Journal of Forensic Medicine and Pathology. 8 (2): 179–82. PMID 3649167. doi:10.1097/00000433-198708020-00019 Verifique data em:
|data=(ajuda) - ↑ Butters AG (setembro 1955). «An unusual rectal injury». British Medical Journal. 2 (4939): 602–3. PMC 1980742
. PMID 13240191. doi:10.1136/bmj.2.4939.602
- ↑ a b c Mackinnon RP (1998). «Removing rectal foreign bodies: is the ventouse gender specific?». The Medical Journal of Australia. 169 (11–12): 670–1. PMID 9887927. doi:10.5694/j.1326-5377.1998.tb123462.x
- ↑ Stein E (2002). Proktologie: Lehrbuch und Atlas. [S.l.]: Verlag Springer. 329 páginas. ISBN 3-540-43033-4
- ↑ a b Axon AT, Classen M (2004). Gastroenterologische Endoskopie. [S.l.]: Georg Thieme Verlag. pp. 400–401. ISBN 3-13-132401-5
- ↑ a b c d e f Huang WC, Jiang JK, Wang HS, Yang SH, Chen WS, Lin TC, Lin JK (outubro 2003). «Retained rectal foreign bodies». Journal of the Chinese Medical Association. 66 (10): 607–12. PMID 14703278
- ↑ a b c Peet TN (fevereiro de 1976). «Removal of impacted rectal foreign body with obstetric forceps». British Medical Journal. 1 (6008): 500–1. PMID 1252815
- ↑ a b Johnson SO, Hartranft TH (agosto de 1996). «Nonsurgical removal of a rectal foreign body using a vacuum extractor. Report of a case». Diseases of the Colon and Rectum. 39 (8): 935–7. PMID 8756851. doi:10.1007/BF02053994
- ↑ Bailey H, Love J (1975). Rains AJ, Ritchie HD, eds. A short textbook of surgery. 16th ed. [S.l.]: Verlag Lewis. 1013 páginas
- ↑ a b Glaser J, Hack T, Rübsam M (março 1997). «Unusual rectal foreign body: treatment using argon-beam coagulation». Endoscopy. 29 (3): 230–1. PMID 9201486. doi:10.1055/s-2007-1004178
- ↑ a b c Koornstra JJ, Weersma RK (julho 2008). «Management of rectal foreign bodies: description of a new technique and clinical practice guidelines». World Journal of Gastroenterology. 14 (27): 4403–6. PMID 18666334
- ↑ Richter RM, Littman L (agosto de 1975). «Endoscopic extraction of an unusual colonic foreign body». Gastrointestinal Endoscopy. 22 (1). 40 páginas. PMID 1205104. doi:10.1016/S0016-5107(75)73685-4
- ↑ Wolf L, Geraci K (agosto de 1977). «Colonscopic removal of balloons from the bowel». Gastrointestinal Endoscopy. 24 (1). 41 páginas. PMID 892400. doi:10.1016/S0016-5107(77)73441-8
- ↑ Tarnasky PR, Newcomer MK, Branch MS (1994). «Colonoscopic diagnosis and treatment of chronic chicken bone perforation of the sigmoid colon». Gastrointestinal Endoscopy. 40 (3): 373–5. PMID 8056249. doi:10.1016/S0016-5107(94)70079-6
- ↑ Over HH, Tözün N, Avşar E (novembro de 1997). «Toothpick impaction: treatment by colonoscopy». Endoscopy. 29 (9): S60–1. PMID 9476787. doi:10.1055/S-2007-1004339
- ↑ Hughes JP, Marice HP, Gathright JB (1976). «Method of removing a hollow object from the rectum». Diseases of the Colon and Rectum. 19 (1): 44–5. PMID 1248348. doi:10.1007/BF02590850
- ↑ a b c Kantarian JC, Riether RD, Sheets JA, Stasik JJ, Rosen L, Khubchandani IT (novembro de 1987). «Endoscopic retrieval of foreign bodies from the rectum». Diseases of the Colon and Rectum. 30 (11): 902–4. PMID 3677968. doi:10.1007/BF02555435
- ↑ Vemula NR, Madariaga J, Brand DL, Hershey H (agosto de 1982). «Colonoscopic removal of a foreign body causing colocutaneous fistulas». Gastrointestinal Endoscopy. 28 (3): 195–6. PMID 7129050. doi:10.1016/S0016-5107(82)73057-3
- ↑ Ahmed A, Cummings SA (dezembro de 1999). «Novel endoscopic approach for removal of a rectal foreign body». Gastrointestinal Endoscopy. 50 (6): 872–4. PMID 10570362. doi:10.1016/S0016-5107(99)70184-7
- ↑ Humes D, Lobo DN (outubro de 2005). «Removal of a rectal foreign body by using a Foley catheter passed through a rigid sigmoidoscope». Gastrointestinal Endoscopy. 62 (4). 610 páginas. PMID 16185979. doi:10.1016/S0016-5107(05)01575-0
- ↑ a b Feigelson S, Maun D, Silverberg D, Menes T (março de 2007). «Removal of a large spherical foreign object from the rectum using an obstetric vacuum device: a case report». The American Surgeon. 73 (3): 304–6. PMID 17375796. doi:10.1177/000313480707300326
- ↑ Haft JS, Benjamin HB, Wagner M (março de 1976). «Vaginal vibrator lodged in rectum». British Medical Journal. 1 (6010). 626 páginas. PMC 1639058
. PMID 1252853. doi:10.1136/bmj.1.6010.626
- ↑ Levin SE, Cooperman H, Freilich M, Lomas M (setembro de 1977). «The use of a curved uterine vulsellum for removal of rectal foreign bodies: report of a case». Diseases of the Colon and Rectum. 20 (6): 532–3. PMID 902553. doi:10.1007/BF02586597
- ↑ Siroospour D, Dragstedt LR (outubro de 1975). «A large foreign body removed through the intact anus: report of a case». Diseases of the Colon and Rectum. 18 (7): 616–9. PMID 1181166. doi:10.1007/BF02587145
- ↑ Aquino MM, Turner JW (outubro de 1986). «A simple technique for removing an impacted aerosol-can cap from the rectum». Diseases of the Colon and Rectum. 29 (10). 675 páginas. PMID 3757713. doi:10.1007/BF02560339
- ↑ Couch CJ, Tan EG, Watt AG (maio de 1986). «Rectal foreign bodies». The Medical Journal of Australia. 144 (10): 512–5. PMID 3713565. doi:10.5694/j.1326-5377.1986.tb112273.x
- ↑ Graves RW, Allison EJ, Bass RR, Hunt RC (maio de 1983). «Anal eroticism: two unusual rectal foreign bodies and their removal». Southern Medical Journal. 76 (5): 677–8. PMID 6844979. doi:10.1097/00007611-198305000-00041
- ↑ Garber HI, Rubin RJ, Eisenstat TE (1981). «Removal of a glass foreign body from the rectum». Diseases of the Colon and Rectum. 24 (4). 323 páginas. PMID 7238244
- ↑ Sharma H, Banka S, Walton R, Memon MA (março de 2007). «A novel technique for nonoperative removal of round rectal foreign bodies». Techniques in Coloproctology. 11 (1): 58–9. PMID 17357869. doi:10.1007/s10151-007-0328-z
- ↑ Yaman M, Deitel M, Burul CJ, Shahi B, Hadar B (abril de 1993). «Foreign bodies in the rectum». Canadian Journal of Surgery. Journal Canadien de Chirurgie. 36 (2): 173–7. PMID 8472230
- ↑ Diwan VS (novembro de 1982). «Removal of 100-watt electric bulb from rectum». Annals of Emergency Medicine. 11 (11): 643–4. PMID 7137678. doi:10.1016/S0196-0644(82)80218-7
- ↑ Jansen AA (setembro de 1969). «Foreign body in the rectum». The New Zealand Medical Journal. 70 (448): 174–5. PMID 5259744
- ↑ Wigle RL (julho de 1988). «Emergency department management of retained rectal foreign bodies». The American Journal of Emergency Medicine. 6 (4): 385–9. PMID 3291887. doi:10.1016/0735-6757(88)90163-5
- ↑ Losanoff JE, Kjossev KT (1999). «Rectal "oven mitt": the importance of considering a serious underlying injury». The Journal of Emergency Medicine. 17 (1): 31–3. PMID 9950383. doi:10.1016/S0736-4679(98)00116-4
- ↑ Coulson CJ, Brammer RD, Stonelake PS (março de 2005). «Extraction of a rectal foreign body using an electromagnet». International Journal of Colorectal Disease. 20 (2): 194–5. PMID 15322838. doi:10.1007/s00384-004-0629-x
- ↑ Vashist MG, Arora AL (julho de 1997). «Screwing a carrot out of the rectum». Indian Journal of Gastroenterology. 16 (3). 120 páginas. PMID 9248200
- ↑ a b Nivatvongs S, Metcalf DR, Sawyer MD (julho de 2006). «A simple technique to remove a large object from the rectum». Journal of the American College of Surgeons. 203 (1): 132–3. PMID 16798498. doi:10.1016/j.jamcollsurg.2006.03.012
- ↑ Gopal S (janeiro de 1974). «A bottle in the rectum». Journal of the Indian Medical Association. 62 (1): 24–5. PMID 4839771
- ↑ Clark SK, Karanjia ND (julho de 2003). «A cork in a bottle--a simple technique for removal of a rectal foreign body». Annals of the Royal College of Surgeons of England. 85 (4). 282 páginas. PMC 1964392
. PMID 12908471. doi:10.1308/003588403766275060
- ↑ Konishi T, Watanabe T, Nagawa H (fevereiro de 2007). «Impaction of a rectal foreign body: what is the final approach before surgery?». Diseases of the Colon and Rectum. 50 (2): 262–3; author reply 263. PMID 17164965. doi:10.1007/s10350-006-0788-7
- ↑ Manimaran N, Shorafa M, Eccersley J (março 2009). «Blow as well as pull: an innovative technique for dealing with a rectal foreign body». Colorectal Disease. 11 (3): 325–6. PMID 18662236
- ↑ Clarke DL, Buccimazza I, Anderson FA, Thomson SR (janeiro 2005). «Colorectal foreign bodies». Colorectal Disease. 7 (1): 98–103. PMID 15606596
- ↑ Stack LB, Munter DW (agosto 1996). «Foreign bodies in the gastrointestinal tract». Emergency Medicine Clinics of North America. 14 (3): 493–521. PMID 8681881
- ↑ Kurer MA, Davey C, Khan S, Chintapatla S (setembro 2010). «Colorectal foreign bodies: a systematic review». Colorectal Disease. 12 (9): 851–61. PMID 19895597
- ↑ Haft JS, Benjamin HB (agosto 1973). «Foreign bodies in the rectum: some psychosexual aspects.». Medical Aspects of Human Sexuality. 7 (8): 74–95
- ↑ Webb CB, McCord KW, Twedt DC (2007). «Rectal strictures in 19 dogs: 1997-2005». Journal of the American Animal Hospital Association. 43 (6): 332–6. PMID 17975215
- ↑ Sargison ND, Scott PR, Dun KA (agosto 1995). «Intestinal obstruction in a blue-faced Leicester ram associated with a phytobezoar lodged at the pelvic inlet». The Veterinary Record. 137 (9). 222 páginas. PMID 7502475
- ↑ Improbable Research: Winners of the Ig® Nobel Prize.
Ligações externas
- Medicina de emergência gastrointestinal no eMedicine
- Journal médico da Austrália Arquivado em 2012-02-18 no Wayback Machine
- British Dental Journal case report: Não se esqueça de sua escova de dentes! (assinantes apenas – com bibliografia útil)
- Radiografias de corpos estranhos retais Arquivado em 2016-03-04 no Wayback Machine na Berlin Charité
- Sturz in die Kiste. In: Der Spiegel Ausgabe 41, 1991, S. 317–320.
- Alles im A… Em: einestages de 7 de junho de 2007
