Corpo albicans
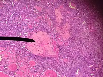
Um corpo albicans é um tecido cicatricial de um antigo corpo lúteo formado no ovário humano.
Quando não há fertilização, o corpo lúteo atinge o desenvolvimento máximo em cerca de 9 dias depois da ovocitação. Devido a degeneração de células lúteas, ele diminui de tamanho e forma uma massa de tecido cicatricial fibrótico chamada de corpo albicante (ou corpo albicans). A produção de hormônios, como a progesterona, cai simultaneamente, o que adianta o sangramento menstrual.
Se o ovócito secundário for fertilizado, não há degeneração do corpo lúteo devido a ação da gonadotrofina coriônica humana, que é um hormônio secretado pelo sinciciotrofoblasto do embrião.