Corpúsculos de Negri

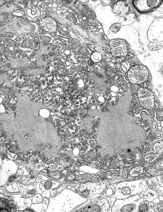
Micrografia com numerosos vírus da raiva (pequenas partículas em arredondadas em tom cinza escuro) e os corpúsculos de Negri, as maiores inclusões celulares patognomônicas na infecção da raiva.

Corpúsculos de Negri são eosinofílicas inclusões virais citoplasmáticas (espécie de "colonização" celular feita por vírus) localizadas nas células do cerebelo (células de Purkinje) do animal afetado pela raiva.

Apenas os vírus da raiva produzem uma inclusão exclusivamente no citoplasma.[1]

Os corpúsculos de Negri são uma das formas de detecção laboratorial da raiva, através da observação microcóspica das células cerebrais; estudos demonstraram, contudo, que nos casos da raiva em equinos, a presença de tais colônias nem sempre é detectada.[2]

Seu nome deriva de Adelchi Negri.

Referências

  1. «Encefalites virais». Unicamp. Consultado em 10 de setembro de 2010 
  2. PEIXOTO, Zélia M.P.; et al. (2000). «Diagnóstico laboratorial da raiva: aspectos peculiares de amostras provenientes de equinos». Brazilian Journal of Microbiology, vol.31, n.1, pp. 72-75. ISSN 1517-8382. Consultado em 10 de setembro de 2010