Cistoadenoma seroso do pâncreas

Cistoadenoma seroso do pâncreas
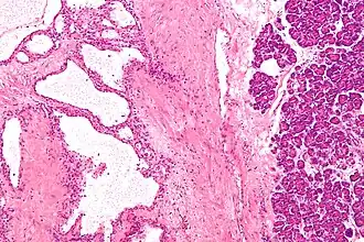
Micrografia de um cistoadenoma seroso do pâncreas; coloração H&E.
Especialidadecirurgia geral
Classificação e recursos externos
eMedicinearticle/371105
A Wikipédia não é um consultório médico. Leia o aviso médico 

Cistoadenoma seroso do pâncreas é um tumor benigno do pâncreas. Geralmente situa-se na cabeça do pâncreas,[1] e pode estar associado com a síndrome de von Hippel-Lindau.[2] Ao contrário de outros tumores císticos do pâncreas, as neoplasias císticas serosas são quase sempre beningnas, embora existam casos raros de cistoadenocarcinomas serosos malignos.[3]

Referências

  1. Colonna, J.; Plaza, JA.; Frankel, WL.; Yearsley, M.; Bloomston, M.; Marsh, WL. (2008). «Serous cystadenoma of the pancreas: clinical and pathological features in 33 patients». Pancreatology. 8 (2): 135–41. PMID 18382099. doi:10.1159/000123606 
  2. Eras, M.; Yenigun, M.; Acar, C.; Kumbasar, B.; Sar, F.; Bilge, T. «Pancreatic involvement in Von Hippel-Lindau disease». Indian J Cancer. 41 (4): 159–61. PMID 15659868 
  3. Galanis C, Zamani A, Cameron JL,; et al. (julho de 2007). «Resected serous cystic neoplasms of the pancreas: a review of 158 patients with recommendations for treatment». J. Gastrointest. Surg. 11 (7): 820–6. PMID 17440789. doi:10.1007/s11605-007-0157-4