Cefaleia em salvas

Cefaleia em Salvas
Sinônimos
  • Dor de cabeça suicida
  • Dor de cabeça do macho
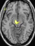
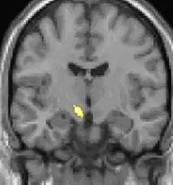
O nervo trigêmeo (amarelo) está intimamente relacionado com os sintomas ocasionados pela cefaleia.
EspecialidadeNeurologia
SintomasUnilateral e ipsilateralmente, ocorre cefaleia forte nas regiões temporal e orbital, acompanhada de ptose, lacrimejamento, rinorreia e congestão nasal
Início habitual20–50 anos de idade
Duração15–180 min.
Tipos
CausasDesconhecido
Fatores de risco
Método de diagnósticoBaseado nos sinais e sintomas
Condições semelhantes
Tratamento
Medicação
Frequência~0.1% da população[1]
Mais informações
Classificação e recursos externos
CID-10G44.0
CID-9
CID-CID-OM8720/3
OMIM119915
DiseasesDB2850
MedlinePlus000786
eMedicineEMERG/229
MeSHD003027
A Wikipédia não é um consultório médico. Leia o aviso médico 

Cefaleias em salvas (CES), também conhecida como dor de cabeça suicida[2] ou dor de cabeça do macho,[3] são dores usualmente em apenas um lado da cabeça extremamente fortes, durando de 15 a 180 minutos, e podendo ocorrer mais de uma vez por dia (por isso o nome "salvas") e com uma frequência de 3 a 10 semanas. Ocorre com frequência nas primeiras horas de sono.[4]

Causas

As reais causas da cefaleia em salvas (CES) ainda são desconhecidas, mas, de acordo com alguns estudos, os padrões das crises, as influências pelo horário do dia e as estações sugerem que o relógio biológico do corpo está envolvido. Nos seres humanos, o relógio biológico está situado no hipotálamo. Durante um ataque, o hipotálamo libera substâncias químicas que podem estimular as células nervosas no cérebro, causando dor e outros sintomas. A hiperatividade nervosa também pode causar um alargamento (vasodilatação) das artérias no lado afetado do cérebro. Uma teoria é que as dores são causadas por um alargamento dos vasos sanguíneos, que pressionam sobre os tecidos nervosos próximos, causando dor.[5] Exames de ressonância magnética sugerem dilatação da artéria oftálmica durante uma crise de cefaleia, enquanto a tomografia por emissão de pósitrons (PET) revela atividade dentro do seio cavernoso. Em alguns casos, existem fatores genéticos também, pois é mais comum entre familiares.[6]

Sinais e sintomas

Geral

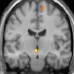
Tomografia PET mostrando áreas ativadas na dor.
VBM mostrando diferenças estruturais entre cérebros

As cefaleias em salvas (CES) são ataques recorrentes e excruciantes de dor de cabeça, sendo esses mesmos ataques unilaterais e de extrema intensidade. A duração de um ataque de CES típico varia entre cerca de 15 a 180 minutos.[1] A maioria dos ataques não tratados (cerca de 75%) dura menos de 60 minutos.

O início de um ataque rápido e é mais frequentemente sem sinais preliminares, que são características de enxaqueca. Sensações preliminares de dor na área geral de ataque, conhecido como "sombras", podem ser sinal de um CES iminente; essas sensações podem continuar depois de um ataque ter passado ou mesmo entre ataques. Apesar de um CES ser estritamente unilateral, há alguns casos documentados de "mudança-de-lado" (side-shift) entre os períodos de fragmentação, extremamente raro, simultaneamente (dentro do mesmo período de salvas) dor de cabeça bilateral. Os sintomas ocorrem diariamente e por algumas semanas (3 a 9) por anos antes de desaparecer:[7]

  • Dor de cabeça intensa e periódica focalizada geralmente atrás do olho;
  • Entupimento e/ou escorrimento nasal;
  • Queda da pálpebra;
  • Lágrimas;
  • Suor;
  • Rubor;
  • Náusea e mal-estar;
  • Inchaço ao redor do olho.

Cada ataque dura em média de 15 minutos a 3 horas, podendo haver mais de uma crise por dia, com predomínio noturno. Geralmente, os pacientes acordam no meio da madrugada com dor de cabeça.[8]

Sintomas específicos

A dor costuma ser descrita como se alguém estivesse arrancando uma parte do cérebro e de um olho, conforme a ilustração

Os sintomas típicos de CES são agrupamentos (clusters) unilaterais de recorrentes crises de dores graves ou muito graves nas regiões orbital, supraorbital e/ou dor temporal. Se deixada sem tratamento, a frequência de ataque pode variar de um ataque a cada dois dias a oito ataques por dia. O ataque da CES é acompanhada por pelo menos um dos seguintes sintomas autônomos: Pálpebras caídas, constrição da pupila, vermelhidão da conjuntiva, lacrimejamento, corrimento nasal. Além disso, podem ocorrer, menos comumente, rubor facial, inchaço ou sudorese, geralmente, mas nem sempre aparecem no mesmo lado da cabeça, como a dor.[8]

Durante a crise de CES, a pessoa pode sentir inquietação (por exemplo, andando ou balançando a cabeça para frente e para trás), fotossensibilidade, aversão à luz (fotofobia) ou a sensibilidade a ruídos (fonofobia). A náusea é um sintoma raro, embora tenha sido relatado. Os efeitos secundários podem incluir a incapacidade de organizar pensamentos e planos, esgotamento físico, confusão, agitação, agressividade, depressão e ansiedade.

As pessoas com CES podem temer enfrentar uma outra dor de cabeça e ajustar suas atividades físicas ou sociais em torno de uma possível ocorrência futura.

Dor

A dor ocorre somente em um lado (unilateral), em volta dos olhos (orbital), particularmente acima do olho (supraorbital), na têmpora (temporal), em qualquer combinação. A dor da CES é tremendamente maior que qualquer outro tipo de cefaleia, incluindo enxaqueca severa. O termo "dor de cabeça" não transmite de forma adequada a gravidade do estado; a doença pode ser o mais doloroso estado já conhecido pela ciência médica. A dor é descrita como uma punhalada ou uma sensação de queimadura ou aperto e pode ser localizada perto ou atrás do olho e atrás da cabeça ou do pescoço.

Recorrência

As CES são ocasionalmente chamadas de "dores de cabeça despertador" por causa da regularidade de sua ocorrência e que pode despertar as pessoas do sono. Ambos os ataques, os individuais e o agrupamento "salvas" pode ter uma regularidade. É normal que os ataques se iniciem em um momento preciso do dia ou da noite. O agrupamento de CES pode ocorrer com mais frequência em torno dos solstícios, às vezes apresentando periodicidade circanual. Isso levou os investigdores a especular o envolvimento do hipotálamo (incluindo a possibilidade de uma disfunção no mesmo), que controla o "relógio biológico" do corpo e o ritmo circadiano. Por outro lado, a frequência de ataque pode ser muito imprevisível, não mostrando nenhuma periodicidade.

No caso da CES episódica, os ataques ocorrem uma vez ou mais por dia, muitas vezes ao mesmo tempo a cada dia, por um período de várias semanas, seguido de um período livre de dor, que dura semanas, meses, ou anos. Aproximadamente 10 a 15% dos portadores de CES crônica passam por várias crises - ocorrem todos os dias -, durante meses - em alguns casos, durante anos -, sem qualquer remissão.

De acordo com os critérios diagnósticos da Sociedade Internacional de Cefaleia (International Headache Society - IHS), as CES ocorrem em dois ou mais períodos de agrupamentos, com duração de 7 a 365 dias, com uma remissão livre de dor de um mês ou mais entre agrupamentos podem ser classificados como episódicos. Se os ataques ocorrem há mais de um ano sem remissão livre de dor de pelo menos um mês, a condição é classificada como crônica. A CES crônica ocorre de forma contínua, sem quaisquer períodos de remissão entre os ciclos; pode haver uma variação de alta e baixa em ciclos, ou seja, a frequência e gravidade dos ataques podem ser alterados sem a previsibilidade, por um período de tempo. A quantidade de mudanças durante esses ciclos varia entre os indivíduos e não demonstra a remissão completa da forma episódica. A condição pode mudar de forma imprevisível, de crônica para episódica e de episódica para crônica. Têm sido conhecida a ocorrência de períodos de remissão que duram décadas.

Diferenças de dores de cabeças

Ao contrário da enxaqueca, a CES geralmente não está associada a estímulos desencadeadores de crises, tais como certos alimentos, o clima, alterações hormonais e estresse. Algumas pessoas chegam a experimentar alterações visuais e náuseas semelhantes às vividas com enxaqueca, mas elas não são comuns. Podem, porém, ser desencadeadas pelo consumo de álcool e por nitroglicerina.[7]

Epidemiologia

A CES atinge aproximadamente 0,2% da população geral, ou seja, duas em cada 1000 pessoas. Os homens são afetados duas a três vezes mais do que as mulheres. A condição geralmente começa entre as idades de 20 e 50 anos, embora possa ocorrer em qualquer idade.[9][10]

Diagnóstico

As CES são muitas vezes mal diagnosticadas, mal administradas ou não diagnosticadas por muitos anos; elas podem ser confundidas com enxaqueca ou outros tipos de dor de cabeça de síndrome primária ou secundária.

A história oral detalhada auxilia o diagnóstico diferencial correto, já que não existem testes confirmatórios para a CES. Um diário de dor de cabeça pode ser útil no acompanhamento de quando e onde a dor ocorre, o quão grave foi e por quanto tempo dura a dor. Um registro de estratégias de enfrentamento utilizadas podem ajudar a distinguir entre o tipo de dor de cabeça; os dados sobre a frequência, gravidade e duração dos ataques de dor de cabeça são uma ferramenta necessária para o diagnóstico diferencial inicial e correto em condições de dor de cabeça.

O diagnóstico correto da CES é um desafio para os profissionais e é especialmente problemático em salas de emergência de hospitais, cujos funcionários não são treinados para o diagnóstico de doença crônicas raras ou complexas. Apesar de experiência das equipes de sala de emergência, por vezes treinadas para detectar tipos de dor de cabeça, os ataques de CES, por si só, não representam risco de vida.

Os indivíduos com CES tipicamente experimentam um longo atraso antes do diagnóstico correto. As pessoas muitas vezes são mal diagnosticadas devido ao relatado em relação ao pescoço, aos dentes, à mandíbula e aos sintomas de rinite e sinusite, podendo passar muitos anos sendo encaminhadas para otorrinolaringologistas - para a análise dos seios paranasais -, dentistas - para avaliação dos dentes -, quiropratas e terapeutas manipulativos - para o tratamento - ou psiquiatras, psicólogos e profissionais de outras disciplinas médicas antes que as dores de cabeça sejam corretamente diagnosticadas. Muitas vezes, o diagnóstico correta leva vários anos a ser feito. Os estudantes de medicina recebem pouco treinamento em diagnóstico e gestão de dores de cabeça diferenciais.

Tratamento

É importante também manter uma rotina de sono, evitar álcool e nitroglicerina. Passar a noite acordado ou beber pode desencadear semanas de crise.[11]

O conceito fundamental para o tratamento da CES é o de prevenção, de evitar que venham as crises, cortar o ciclo, o surto de dor e também de cortar as crises quando elas aparecem. Para tratamento preventivo, existem as opções medicamentosas como o verapamil, o lítio, corticoterapia, a melatonina, o topiramato, o divalproato e o bloqueio de nervo occipital.[12]

As cefaleias em salvas só respondem a analgésicos muito específicos. Na realidade, só respondem ao sumatriptano, que não é propriamente um analgésico, mas sim uma substância que atua diretamente sobre os receptores da serotonina e, se injetada por via subcutânea no início da crise, em 5 minutos corta os sintomas. Para esse tipo de cefaleia, não adianta prescrever comprimidos por via oral, porque esses demoram perto de 20 minutos para fazer efeito, tempo ao fim do qual a dor já terá atingido um nível insuportável. O uso de oxigênio também pode ser eficaz.[8]

Um estudo publicado em 2006 na revista American Academy of Neurology mostra que LSD e psilocibina aplicados a 53 pacientes na clínica de pesquisa laboratorial da Universidade de Harvard se mostraram altamente eficientes no combate às crises: 22 de 26 pacientes disseram que suas crises terminaram com a aplicação de psilocibina, enquanto sete de oito pacientes tiveram a crise terminada com aplicação de LSD.[13] Há relatos de que outras triptaminas, como a ayahuasca, também são eficazes.

Recomenda-se como tratamento evitar e ou diminuir as crises, utilizando medicamentos como 80 mg de cloridrato de verapamil ou inalar oxigênio medicinal durante 15 a 20 minutos (com um tubo de 3 m3) ou o uso de ambos os métodos melhora o resultado. Assim que sentir o início da crise, geralmente o paciente pressente o aparecimento da crise, não pegar sol, não viajar para cidades mais altas da qual vive e o corpo já está acostumado (haverá menos oxigênio), tomar bastante água para melhor a circulação sanguínea e consequentemente a oxigenação no cérebro. Evitar o álcool e o tabagismo é primordial, assim como alguns alimentos gordurosos e que dificultam a digestão e a circulação. A crise é acelerativa, ou seja, o paciente tem tendência de tê-las a uma frequência e intensidade cada vez maior, portanto é importante evitar a primeira crise, tentando oxigenar o cérebro e diminuir a frequência do aparecimento dos sintomas.

Quanto mais se evitar a crise, mais esporádica e menos intensa será. Em caso de crise noturna, deve-se evitar dormir sem se medicar ou utilizar o oxigênio medicinal, pois o sono profundo irá diminuir a oxigenação do cérebro e iniciar uma nova crise, provavelmente mais forte por ser muito próxima à última.

Respirar fundo pode não ser a melhor opção. Há casos em que o ideal é diminuir ao máximo a respiração, e quando respirar, fazê-lo apenas pela boca, pois a narina do lado afetado está muito sensibilizada e a passagem do ar parece irritá-la ainda mais, provocando aumento da dor.

Outro método de alívio é aplicação de gelo (crioterapia). Utilizando-se uma bolsa de gelo ou mesmo um saco plástico com água gelada e algumas pedras de gelo, deve-se aplicar na área afetada, normalmente a parte frontal lateral, sobre um dos olhos e na fronte. Se aplicado logo no início da crise, pode ser 100% eficaz ou aliviar a dor. Também é interessante aplicar no pescoço, quando o paciente também sente enrijecimento no tendão da nuca.

Há casos de melhoras expressivas com acupuntura. Após a estabilização do organismo, as dores cessam e podem sumir por vários meses, desde que não sejam instigadas pelos gatilhos (álcool, tabaco e outros). A acupuntura deve ser experimentada, pois se der resultados positivos, o paciente não será mais submetido ao uso de medicamentos alopáticos, por vezes muito fortes.

Gestão

O tratamento para a CES é dividido em três categorias principais: abortivos, de transição e de prevenção. Existem dois tratamentos primários para CES aguda, de oxigênio e triptanos, mas são subutilizadas devido a erros de diagnóstico da síndrome, Durante crises de dores de cabeça, deve evitar-se o consumo de álcool, nitroglicerina, assim como os cochilos durante o dia.

Oxigênio

A oxigenoterapia pode ajudar as pessoas com CES, mas não ajuda a prevenir futuros episódios. Normalmente é dada através de uma máscara non-rebreather de 12-15 litros por minuto, durante 15-20 minutos. Cerca de 70% dos pacientes sentem melhoras consideráveis em 15 minutos; não está claro se a oxigenoterapia hiperbárica é melhor do que o oxigênio de alto fluxo.[14]

Os triptanos

O outro tratamento recomendado, principalmente para ataques agudos, é a administração subcutânea ou intranasal de sumatriptano. Tanto o sumatriptano como o zolmitriptano demonstram melhorar os sintomas durante um ataque, tendo o sumatriptano um efeito superior. Porém, devido à ação vasoconstritora dos triptanos, eles são contra-indicados pessoas com doença isquêmica do coração.

Os opioides

Não se recomenda o uso de medicamentos opioides em gestão da CES, pois podem fazer com que a dor de cabeça fique ainda pior e seu uso a longo prazo está associada à dependência e síndromes de abstinência. A prescrição de medicação contendo opioides pode ainda levar a um atraso no diagnóstico, subtratamento e má gestão.

História

A primeira descrição completa da CES foi dada pelo neurologista londrino Wilfred Harris, em 1926. Ele deu o nome de "neuralgia enxaquecosa" à doença. As descrições da CES datam de 1745 e, provavelmente, mais cedo.

A condição foi originalmente chamado de "cefaleia de Horton" após BT Horton, um neurologista dos EUA, ter postulado a primeira teoria a respeito de sua patogênese. Seu artigo original descreve a gravidade das dores de cabeça como sendo capaz de levar homens normais ao suicídio ou a tentativas de suicídio. Num artigo seu de 1939, Horton afirmou o seguinte:

"Nossos pacientes ficaram inválidos por causa da doença e sofrem de crises de dor de duas a vinte vezes por semana. Eles não encontraram nenhum alívio através dos métodos usuais de tratamento. A dor por que passam é tão grave, que vários deles tiveram que ser constantemente vigiados por receio que se suicidassem. A maioria deles estava disposta submeter-se a qualquer operação que pudesse lhes trazer alívio ".

A cefaleia de Horton foi alternativamente chamada de "eritroprosopalgia de Bing", "neuralgia ciliar", "eritromelalgia da cabeça", "dor de cabeça de Horton", "cefaleia histamínica", "neuralgia petrosal", "neuralgia do esfenopalatino", "neuralgia do vidiano", "neuralgia do Sluder", "síndrome de Sluder" e "hemicrânia angioparalyticia".

Referências

  1. a b Wei, Diana Yi-Ting; Yuan Ong, Jonathan Jia; Goadsby, Peter James (abril de 2018). «Cluster Headache: Epidemiology, Pathophysiology, Clinical Features, and Diagnosis». Annals of Indian Academy of Neurology (Suppl 1): S3–S8. ISSN 0972-2327. PMC 5909131Acessível livremente. PMID 29720812. doi:10.4103/aian.AIAN_349_17. Consultado em 20 de agosto de 2025 
  2. Cruz, Simão (2010). Epidemiologia Genética da Cefaleia em Salvas (PDF) (Tese de Mestrado). Instituto de Ciências Biomédicas Abel Salazar / Universidade do Porto. p. 11. Consultado em 8 de abril de 2021 
  3. «Dor de Cabeça do Macho (Em Salvas)». Sociedade Brasileira da Cefaleia. 26 de janeiro de 2017. Consultado em 8 de abril de 2021 
  4. Sanvito, Wilson Luiz; Tilbery, Charles Peter. «CEFALEIA EM SALVAS - ASPECTOS CLINICOS E TERAPEUTICOS EM 26 CASOS» (PDF). Scielo Brasil. Faculdade de Ciências Médicas da Santa Casa de São Paulo 
  5. Tidy, Colin (23 de abril de 2023). «Cluster headaches». Patient (em inglês) 
  6. Taylor, Danette C. (12 de agosto de 2023). «Cluster headaches». Medicine Net. www.medicinenet.com 
  7. a b «Cluster headache - Symptoms and causes». Mayo Clinic (em inglês). Consultado em 20 de agosto de 2025 
  8. a b c «Cefaleias em salvas - Distúrbios cerebrais, da medula espinal e dos nervos». Manual MSD Versão Saúde para a Família. Consultado em 9 de abril de 2022 
  9. Nesbitt, Alexander D.; Goadsby, Peter J. (11 de abril de 2012). «Cluster Headache». British Medical Journal. 344: e2407. PMID 22496300. doi:10.1136/bmj.e2407. Consultado em 18 de junho de 2020 
  10. Weaver-Agostoni, Jacqueline (15 de julho de 2013). «Cluster Headache». American Family Physician. 88 (2): 122–8. PMID 23939643. Consultado em 18 de junho de 2020 
  11. «Cluster headache - Diagnosis and treatment - Mayo Clinic». Mayo Clinic (em inglês). Consultado em 20 de agosto de 2025 
  12. Peres, Dr Mario. «Tratamento da Cefaleia em Salvas com Bloqueio | Dor de Cabeça, Dores de Cabeça, Enxaqueca. Dr Mario Peres, neurologista, saúde e qualidade de vida». dordecabeca.net. Consultado em 20 de agosto de 2025. Cópia arquivada em 9 de maio de 2011 
  13. Sewell, R. Andrew; Halpern, John H.; Pope Jr, Harrison G. (26 de junho de 2006). «Response of cluster headche to psilocybin and LSD» (PDF). Documents for Serious Psychonauts. American Academy of Neurology. doi:10.1212/01.wnl.0000219761.05466.43. Consultado em 20 de agosto de 2025 
  14. Bennett, Michael H.; French, Christopher; Schnabel, Alexander; et al. (16 de julho de 2008). «Normobaric and Hyperbaric Oxygen Therapy for Migraine and Cluster Headache». Cochrane Library. PMID 18646121. doi:10.1002/14651858.CD005219.pub2. Consultado em 18 de junho de 2020 

Bibliografia

  • Upledger, John E.; Vredevoogd, Jon D. (1983). Craniosacral Therapy. Universidade de Michigan: Eastland Press. 367 páginas. ISBN 9780939616015