Carcinoma de células acinares do pâncreas
| Carcinoma de células acinares do pâncreas | |
|---|---|
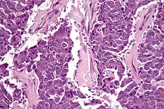
![]() | |
| Micrografia de um carcinoma de células acinares do pâncreas, coloração H&E. | |
| Especialidade | oncologia |
| Classificação e recursos externos | |
Carcinoma de células acinares do pâncreas é um tumor pancreático exócrino raro e maligno. Corresponde a 5% de todos os tumores do pâncreas, sendo o segundo tipo mais comum de cancro do pâncreas.[1]
Referências
- ↑ Tobias Jeffrey S., Hochhauser, Daniel, Cancer and its Management, p. 276, 2010 (6th edn), ISBN 1118713257, 9781118713259
