Círculo arterial cerebral

Círculo arterial cerebral
Círculo arterial cerebral
Representação esquemática do polígono de Willis, artérias do cérebro e tronco cerebral.
O cérebro e as artérias da base do cérebro.
Nome em Latim circulus arteriosus cerebri
Gray's subject # 574
MeSH A07.231.114.228.351

O polígono de Willis ou círculo de Willis (também chamado de círculo arterial cerebral ou círculo arterial de Willis) é um círculo de artérias que suprem o cérebro. Foi nomeado em homenagem a Thomas Willis (1621-1673), médico inglês.[1]

Componentes

A artéria basilar e a artéria cerebral média, apesar de irrigarem o cérebro, não são consideradas parte do polígono.[2]

Importância fisiológica

O arranjo das artérias no Polígono de Willis cria uma redundância na circulação cerebral. Se uma parte do círculo estiver bloqueada ou estreitada (estenose), ou se uma das artérias que suprem o polígono está estreitada ou bloqueada, o fluxo sanguíneo dos outros vasos sanguíneos pode muitas vezes preservar a perfusão cerebral o suficiente para evitar sintomas de isquemia.[3]

Variação anatômica

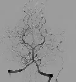
Angiografia cerebral, injeção na artéria vertebral esquerda, com fluxo retrógrado na artéria vertebral contralateral, na artéria basilar e na artéria comunicante posterior. A circulação cerebral posterior pode ser vista, incluindo a parte posterior do Círculo de Willis.

Existe considerável variação anatômica no Polígono de Willis. A versão encontrada nos livros, baseada numa série de 1413 cérebros, só é vista em 34,5% dos casos.[4]

Origem das artérias

As carótidas internas direita e esquerda originam-se das artérias carótidas direita e esquerda. As artérias cerebrais anteriores e médias e as artérias comunicantes posteriores originam-se na trifurcação da artéria carótida interna. As artérias cerebrais posteriores direita e esquerda originam-se da artéria basilar, que é formada pelas artérias vertebrais direita e esquerda. As artérias vertebrais, por sua vez, origina-se nas artérias subclávias. A artéria comunicante anterior conecta as duas artérias cerebrais anteriores.

Imagens adicionais

Referências

  1. Uston C. Dr. Thomas Willis' famous eponym: the circle of Willis. J Hist Neurosci. 2005 Mar;14(1):16-21. PMID 15804755. Free Full Text.
  2. Moore KL, Dalley AR. Clinically Oriented Anatomy, 4th Ed., Lippincott Williams & Wilkins, Toronto. Copyright 1999. ISBN 0-683-06141-0.
  3. «Spect measurements of regional cerebral perfusion and carbondioxide reactivity: Correlation with cerebral collaterals in internal carotid artery occlusive disease.». J Neurol. PMID 17063318 
  4. Bergman RA, Afifi AK, Miyauchi R, Circle of Willis. Illustrated Encyclopedia of Human Anatomic Variation Arquivado em 1 de janeiro de 2006, no Wayback Machine., URL: http://www.anatomyatlases.org/AnatomicVariants/Cardiovascular/Text/Arteries/CircleofWillis.shtml. Accessed on November 6, 2005.