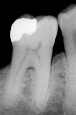
Amálgama de prata

Amálgama é toda liga metálica em que um dos metais envolvidos está em estado líquido, sendo geralmente o mercúrio.
No caso da amálgama de prata utilizada pelo cirurgião-dentista (médico-dentista em Portugal), trata-se de uma liga que contém prata, mercúrio e estanho, podendo haver também o zinco e o cobre. Ela visa restaurar a cavidade causada pela doença cárie e pela manobra operatória do dentista ao remover tecido contaminado.
Histórico
Os chineses foram os primeiros povos a utilizar a "pasta de prata" em meados do século VII para preencher dentes deteriorados[carece de fontes]. No século XIX esta pasta já era largamente empregada na Inglaterra e na França, como material obturador, porém, ela expandia em demasia, causando fraturas nos dentes e o mercúrio contaminava os pacientes. A pasta de prata perde então credibilidade frente a outros materiais como o ouro. Em 1816 o dentista francês Auguste Taveau usou moedas de prata e cobre para criar a limalha, que era amalgamada com mercúrio. Esse amálgama continha uma quantidade muito pequena de mercúrio e precisava ser aquecido para que a prata se dissolvesse a uma taxa apreciável. A fórmula de Taveau oferecia menor custo e maior facilidade de uso em comparação com materiais existentes, como o ouro, mas apresentava muitos problemas práticos, incluindo uma tendência a se expandir significativamente após a cura. Devido a esses problemas, essa fórmula foi abandonada na França. No entanto, em 1833 os "irmãos" franceses Crawcour (Edward Crawcour e seu sobrinho Moses Crawcour) imigraram para os Estados Unidos, introduzindo o amálgama de Taveau aos americanos. Eles anunciaram o amálgama com o nome “Royal Mineral Succedaneum” e ofereciam à população restaurações rápidas e baratas. Por volta de 1895, a mistura dos metais do amálgama dental tinha sido modificada mais uma vez para controlar melhor a expansão e a contração, desde então a fórmula básica permaneceu essencialmente a mesma.
Uso
O amálgama é um material restaurador bastante utilizado pelos dentistas na atualidade[1] em razão de seu baixo custo, facilidade técnica, resistência ao desgaste e selamento marginal; entretanto, pela presença do mercúrio e outros metais pesados - potencialmente tóxicos para o profissional e o paciente, existe uma crescente resistência ao seu uso. Aliado a isso, sendo uma liga metálica, ela é antiestética e está sujeita a corrosão, implicando em pigmentação indesejável da estrutura dentária. Outro fator de restrição é a necessidade de confecção de cavidades retentivas para a pasta, pois não existe adesão do amálgama ao dente, causando assim desgastes excessivos em estruturas que poderiam ser poupadas. Atualmente em alguns países o amálgama está proibido, e onde ainda o usam têm-se buscado substituir o mercúrio pelo gálio[1].
Vantagens
Como anteriormente descrito, o amálgama é um material simples e barato, sua manipulação e técnica operatória é, dentre todas, a menos sensível aos fluidos operatórios e a higiene do paciente[1].
Com o advento de novas técnicas, especialmente com a "era adesiva da odontologia", alguns dos problemas inerentes às características do amalgama estão sendo superados; Os preparos estão mais conservadores, os índices de infiltração marginais diminuindo e a resistência à corrosão aumentando. Recentes estudos mostram que um pequeno filme de resíduos da oxidação interfere na dissolução dos metais pesados inclusive o mercúrio diminuindo muito a sua absorção pelo organismo do indivíduo.[2]
O amálgama por ser uma liga metálica, tem como vantagem também a alta resistência mastigatória e resistência ao desgaste; normalmente ele é utilizado como referência de dureza entre os materiais restauradores.
Desvantagens
As limitações do amalgama são químicas, físicas e estéticas. As limitações químicas estão na presença de metais pesados e tóxicos (o mercúrio, a prata, o estanho, o zinco etc) que podem contaminar os seres humanos e a natureza. As concentrações sempre variam de acordo com o fabricante da liga, por isso é difícil também uma normalização ou padronização de suas concentrações. O mercúrio, o metal mais concentrado na liga, pode ter sérios efeitos locais e sistêmicos no corpo, reações de tipo corpo estranho, sangramentos gengivais, gosto metálico, transtornos respiratórios, cardíacos, neurológicos, adenopatias linfáticas, perda de peso e dores articulares. Inúmeros estudos afirmam que não existe contaminação do paciente com estes produtos. No entanto, após 150 anos de pesquisa, nenhum trabalho científico sério demonstrou contaminação dos pacientes pelo amálgama de prata. O mercúrio presente no amálgama funciona como agente de ligação de outros metais, estando portanto na forma inativa. Durante o uso, pequenas partículas podem se soltar, mas diversos estudos demonstraram que a quantidade liberada não interfere de maneira significativa nos níveis sistêmicos de mercúrio.
As limitações estéticas são principalmente devido à coloração prateada de seus constituintes químicos, constituintes esses que com o passar do tempo passam por processos de oxidação e tornam-se escurecidos, menos mascaráveis na cavidades oral.